Promotional price valid on web orders only. Your contract pricing may differ. Interested in signing up for a dedicated account number?
Learn More
Learn More
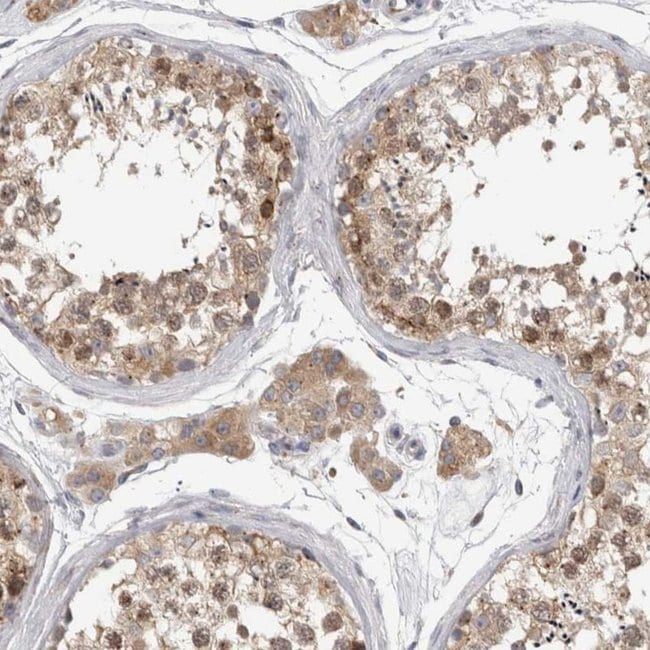
Invitrogen™ ZNF341 Polyclonal Antibody

Rabbit Polyclonal Antibody
Supplier: Invitrogen™ PA555122
Description
Immunogen sequence: NSIYPPSAAP TAVQQAPTPA NRQISTYITV PPSPLIQTLV QGNILVSDDV LMSAMSAFTS LDQPMPQGPP PVQSSLNMHS VPSYLTQP Highest antigen sequence identity to the following orthologs: Mouse - 92%, Rat - 78%.
The ZNF341 gene is located on chromosome 20.
Specifications
| ZNF341 | |
| Polyclonal | |
| Unconjugated | |
| ZNF341 | |
| dJ553F4.3; ZFP341; zinc finger protein 341; ZNF341 | |
| Rabbit | |
| Antigen affinity chromatography | |
| RUO | |
| 84905 | |
| Store at 4°C short term. For long term storage, store at -20°C, avoiding freeze/thaw cycles. | |
| Liquid |
| Immunohistochemistry (Paraffin) | |
| 0.1 mg/mL | |
| PBS with 40% glycerol and 0.02% sodium azide; pH 7.2 | |
| Q9BYN7 | |
| ZNF341 | |
| Recombinant protein corresponding to Human ZNF341. Recombinant protein control fragment (Product #RP-93596). | |
| 100 μL | |
| Primary | |
| Human | |
| Antibody | |
| IgG |
Product Content Correction
Your input is important to us. Please complete this form to provide feedback related to the content on this product.
Product Title
Spot an opportunity for improvement?Share a Content Correction