Promotional price valid on web orders only. Your contract pricing may differ. Interested in signing up for a dedicated account number?
Learn More
Learn More
Invitrogen™ ZNF502 Polyclonal Antibody

Rabbit Polyclonal Antibody
Supplier: Invitrogen™ PA556188
Description
Immunogen sequence: FQEGGFGRIT FIHKEAPPEI ISQGYNFEKS LLLTSSLVTR LRVSTEESLH QWETSNIQTN DISDQSKCPT LCTQ Highest antigen sequence identity to the following orthologs: Mouse - 28%, Rat - 23%.
May be involved in transcriptional regulation.
Specifications
| ZNF502 | |
| Polyclonal | |
| Unconjugated | |
| ZNF502 | |
| zinc finger protein 502; ZNF502 | |
| Rabbit | |
| Antigen affinity chromatography | |
| RUO | |
| 91392 | |
| Store at 4°C short term. For long term storage, store at -20°C, avoiding freeze/thaw cycles. | |
| Liquid |
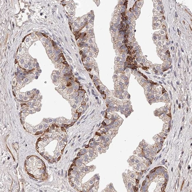
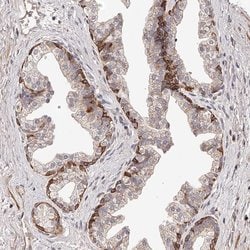
| Immunohistochemistry (Paraffin) | |
| 0.05 mg/mL | |
| PBS with 40% glycerol and 0.02% sodium azide; pH 7.2 | |
| Q8TBZ5 | |
| ZNF502 | |
| Recombinant protein corresponding to Human ZNF502. Recombinant protein control fragment (Product #RP-93641). | |
| 100 μL | |
| Primary | |
| Human | |
| Antibody | |
| IgG |
Product Content Correction
Your input is important to us. Please complete this form to provide feedback related to the content on this product.
Product Title
Spot an opportunity for improvement?Share a Content Correction