Promotional price valid on web orders only. Your contract pricing may differ. Interested in signing up for a dedicated account number?
Learn More
Learn More
Invitrogen™ ZNF503 Polyclonal Antibody

Rabbit Polyclonal Antibody
Supplier: Invitrogen™ PA555439
Description
Immunogen sequence: SPSSKLSSVA SNGGGAGGAG GGAAGDKDTK SGPLKLSDIG VEDKSSFKPY SKPGSDKKEP GGGGGGGGGG GGGGGGVSSE KSGFRVPSAT CQPFTPRTGS PSSSASACSP GGMLSSAGGA PEGKDDKKDT DVG Highest antigen sequence identity to the following orthologs: Mouse - 92%, Rat - 92%.
The ZNF503 gene encodes zinc finger protein 503, a transcription factor involved in the regulation of developmental processes and cellular differentiation. ZNF503 contains zinc finger domains that enable it to bind DNA and modulate the transcription of specific target genes, influencing pathways critical for embryonic development, particularly in the neural and mesenchymal tissues. It plays a substantial role in the regulation of stem cell differentiation and has been implicated in various biological processes, including neuronal migration, immune response, and organogenesis. Alterations in ZNF503 expression have been linked to developmental anomalies and diseases such as cancers, where it affects tumor growth and progression by modulating gene networks involved in cell proliferation and differentiation. Research into ZNF503 focuses on understanding its complex regulatory functions and potential as a target for therapeutic interventions in developmental disorders and oncological applications.
Specifications
| ZNF503 | |
| Polyclonal | |
| Unconjugated | |
| ZNF503 | |
| Nlz2; NOLZ1; NOLZ-1; Zinc finger protein 503; ZNF503 | |
| Rabbit | |
| Antigen affinity chromatography | |
| RUO | |
| 84858 | |
| Store at 4°C short term. For long term storage, store at -20°C, avoiding freeze/thaw cycles. | |
| Liquid |
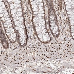
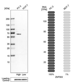
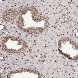
| Immunohistochemistry (Paraffin), Western Blot, Immunocytochemistry | |
| 0.2 mg/mL | |
| PBS with 40% glycerol and 0.02% sodium azide; pH 7.2 | |
| Q96F45 | |
| ZNF503 | |
| Recombinant protein corresponding to Human ZNF503. Recombinant protein control fragment (Product #RP-102302). | |
| 100 μL | |
| Primary | |
| Human | |
| Antibody | |
| IgG |
Product Content Correction
Your input is important to us. Please complete this form to provide feedback related to the content on this product.
Product Title
Spot an opportunity for improvement?Share a Content Correction