Promotional price valid on web orders only. Your contract pricing may differ. Interested in signing up for a dedicated account number?
Learn More
Learn More
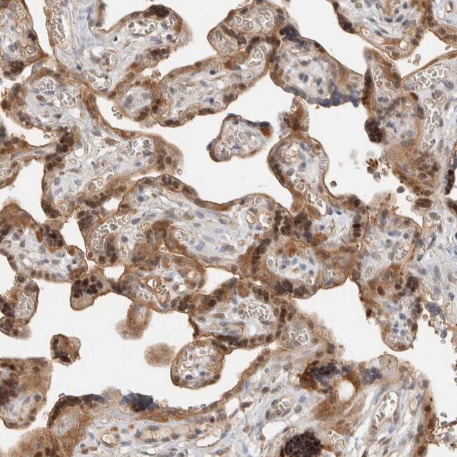
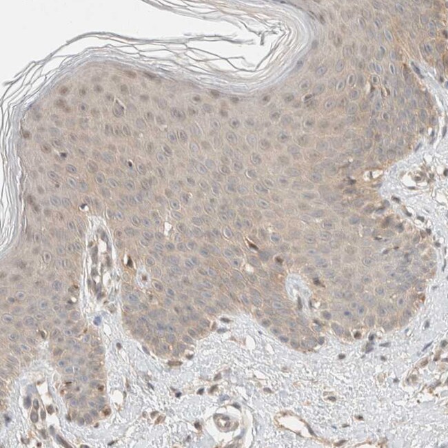
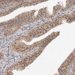
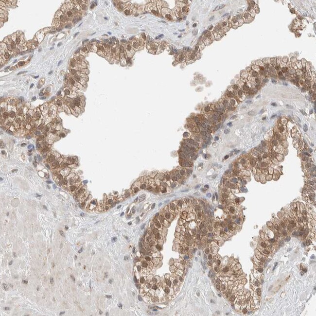
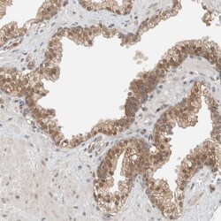
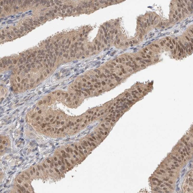
Invitrogen™ ZNF567 Polyclonal Antibody

Rabbit Polyclonal Antibody
Supplier: Invitrogen™ PA554934
Description
Immunogen sequence: PEVKSHNQSA RAFSHNEVLM QYQKTETPAQ SFGYNDCEKS FLQRGGLITH SRPYKGENPS VY Highest antigen sequence identity to the following orthologs: Mouse - 37%, Rat - 35%.
May be involved in transcriptional regulation.
Specifications
ZNF567 | |
Polyclonal | |
Unconjugated | |
ZNF567 | |
Zinc finger protein 567; ZNF567 | |
Rabbit | |
Antigen affinity chromatography | |
RUO | |
163081 | |
Store at 4°C short term. For long term storage, store at -20°C, avoiding freeze/thaw cycles. | |
Liquid |
Immunohistochemistry (Paraffin), Immunocytochemistry | |
Lot-Specific | |
PBS with 40% glycerol and 0.02% sodium azide; pH 7.2 | |
Q8N184 | |
ZNF567 | |
Recombinant protein corresponding to Human ZNF567. Recombinant protein control fragment (Product #RP-93637). | |
100 μL | |
Primary | |
Human | |
Antibody | |
IgG |
Product Content Correction
Your input is important to us. Please complete this form to provide feedback related to the content on this product.
Product Title
Spot an opportunity for improvement?Share a Content Correction