Promotional price valid on web orders only. Your contract pricing may differ. Interested in signing up for a dedicated account number?
Learn More

ZNF592 Rabbit anti-Human, Polyclonal, Bethyl Laboratories

Rabbit Polyclonal Antibody

Supplier:  Bethyl Laboratories, Inc A301531AT

Encompass_Preferred

Catalog No. 50-156-0627


May include imposed supplier surcharges.
Only null left
Add to Cart

Description

Description

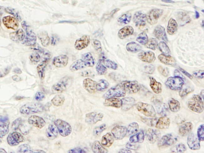
The recommended shelf life for this product is 1 year from date of receipt. Application Note: For IHC, epitope retrieval with citrate buffer pH 6.0 is recommended for FFPE tissue sections.

This gene is thought to play a role in a complex developmental pathway and the regulation of genes involved in cerebellar development. Mutations in this gene have been associated with autosomal recessive spinocerebellar ataxia. [provided by RefSeq, Jan 2011].
Specifications

Specifications

ZNF592
Polyclonal
Unconjugated
ZNF592
KIAA0211
Rabbit
Antigen affinity chromatography
RUO
9640
4° C
Liquid
Immunohistochemistry, Immunoprecipitation
1 mg/ml
phosphate, tris citrate with 0.09% sodium azide; pH 7-8
Q92610
ZNF592
Between 950 and 1000
10 μL
Primary
Human
Antibody
IgG
Product Suggestions

Product Suggestions

Videos
SDS
Documents

Documents

Product Certifications
Promotions

Promotions

Product Content Correction

The Fisher Scientific Encompass Program offers items which are not part of our distribution portfolio. These products typically do not have pictures or detailed descriptions. However, we are committed to improving your shopping experience. Please use the form below to provide feedback related to the content on this product.

Product Title

By clicking Submit, you acknowledge that you may be contacted by Fisher Scientific in regards to the feedback you have provided in this form. We will not share your information for any other purposes. All contact information provided shall also be maintained in accordance with our Privacy Policy.

Your feedback has been submitted: Thank you for helping us improve our website.