Promotional price valid on web orders only. Your contract pricing may differ. Interested in signing up for a dedicated account number?
Learn More
Learn More
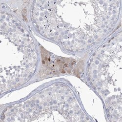
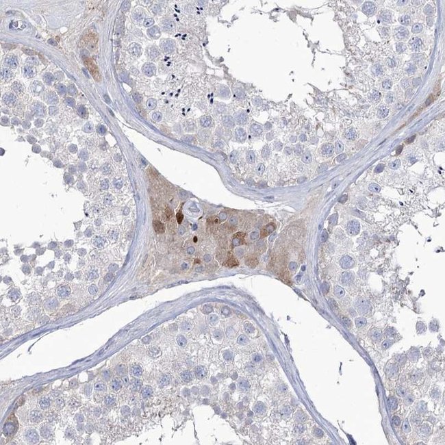
Invitrogen™ ZNF622 Polyclonal Antibody

Rabbit Polyclonal Antibody
Supplier: Invitrogen™ PA557698
Description
Immunogen sequence: VAHMTKDHSF FIPDIEYLSD IKGLIKYLGE KVGVGKICLW CNEKGKSFYS TEAVQAHMND KSHCKLFTDG DAALEFADFY DFRSSYPDHK EGE Highest antigen sequence identity to the following orthologs: Mouse - 96%, Rat - 96%.
ZNF622 may behave as an activator of the bound transcription factor, MYBL2, and be involved in embryonic development.
Specifications
ZNF622 | |
Polyclonal | |
Unconjugated | |
ZNF622 | |
1110033B05Rik; D15Ertd806e; liver regeneration-related protein LRRG121; Zfp622; Zinc finger protein 622; zinc finger-like protein 9; Znf622; ZPR9 | |
Rabbit | |
Antigen Affinity Chromatography | |
RUO | |
90441 | |
Store at 4°C short term. For long term storage, store at -20°C, avoiding freeze/thaw cycles. | |
Liquid |
Immunohistochemistry (Paraffin), Immunocytochemistry | |
0.05 mg/mL | |
PBS with 40% glycerol and 0.02% sodium azide; pH 7.2 | |
Q969S3 | |
ZNF622 | |
Recombinant protein corresponding to Human ZNF622. Recombinant protein control fragment (Product #RP-102723). | |
100 μL | |
Primary | |
Human | |
Antibody | |
IgG |
Product Content Correction
Your input is important to us. Please complete this form to provide feedback related to the content on this product.
Product Title
Spot an opportunity for improvement?Share a Content Correction