Promotional price valid on web orders only. Your contract pricing may differ. Interested in signing up for a dedicated account number?
Learn More
Learn More
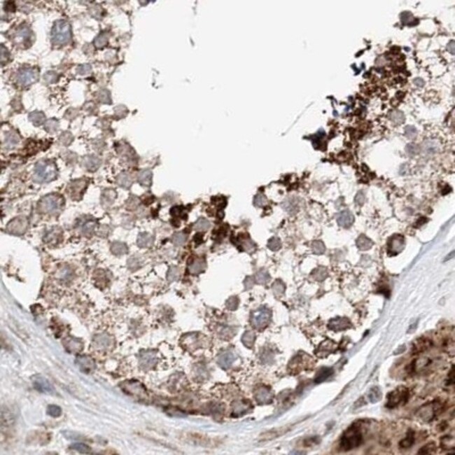
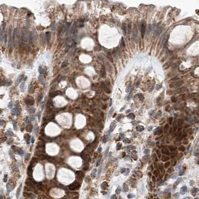
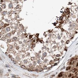
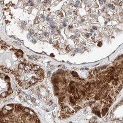
Invitrogen™ ZNF690 Polyclonal Antibody

Rabbit Polyclonal Antibody
Supplier: Invitrogen™ PA552791
Description
Immunogen sequence: RTLEQCRTKF KGLQKSYRKV KSGHPPETCP FFEEMEALMS AQVIALPSNG LEAAASHSGL VGSDAETEEP GQRGWQHEEG AEEAVAQESD SDDMDLEATP QDPNSAAPVV FRSPGGVHWG YEETKTYLAI LSETQFYEAL R Highest antigen sequence identity to the following orthologs: Mouse - 84%, Rat - 80%.
ZNF690 is a new candidate transcription factor.
Specifications
| ZNF690 | |
| Polyclonal | |
| Unconjugated | |
| ZSCAN29 | |
| AW125441; KOX31-like zinc finger protein; LOW QUALITY PROTEIN: zinc finger and SCAN domain-containing protein 29; RGD1559150; sim to KOX31-like Zfp; Zfp690; zinc finger and SCAN domain containing 29; zinc finger and SCAN domain containing protein 29; zinc finger and SCAN domain-containing protein 29; Zinc finger protein 690; zinc finger SCAN domains 29; ZNF690; ZSCAN29 | |
| Rabbit | |
| Antigen Affinity Chromatography | |
| RUO | |
| 146050 | |
| Store at 4°C short term. For long term storage, store at -20°C, avoiding freeze/thaw cycles. | |
| Liquid |
| Immunohistochemistry (Paraffin), Immunocytochemistry | |
| 0.05 mg/mL | |
| PBS with 40% glycerol and 0.02% sodium azide; pH 7.2 | |
| Q8IWY8 | |
| ZSCAN29 | |
| Recombinant protein corresponding to Human ZNF690. Recombinant protein control fragment (Product #RP-89276). | |
| 100 μL | |
| Primary | |
| Human | |
| Antibody | |
| IgG |
Safety and Handling
WARNING: Cancer - www.P65Warnings.ca.gov
Product Content Correction
Your input is important to us. Please complete this form to provide feedback related to the content on this product.
Product Title
Spot an opportunity for improvement?Share a Content Correction