Learn More
Invitrogen™ ZPR1 Recombinant Rabbit Monoclonal Antibody (JE58-88)

Description
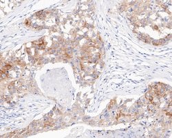
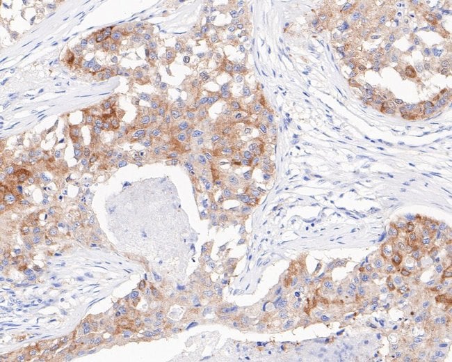
ZPR1 Recombinant Monoclonal Antibody for Western Blot, IHC (P), Flow
Specifications
Specifications
| Antigen | ZPR1 |
| Applications | Flow Cytometry, Immunohistochemistry (Paraffin), Western Blot |
| Classification | Recombinant Monoclonal |
| Clone | JE58-88 |
| Concentration | 1 mg/mL |
| Conjugate | Unconjugated |
| Formulation | TBS with 0.05% BSA, 40% glycerol and 0.05% sodium azide; pH 7.4 |
| Gene | ZPR1 |
| Gene Accession No. | O75312, Q62384 |
| Gene Alias | AI303781; fc17g10; hypothetical protein LOC504523; RGD1562173; si:rp71-56i13.4; wu:fc17g10; Zfp259; zgc:56478; Zinc finger protein 259; zinc finger protein ZPR1; ZNF259; Zpr1; ZPR1 zinc finger |
| Show More |
By clicking Submit, you acknowledge that you may be contacted by Fisher Scientific in regards to the feedback you have provided in this form. We will not share your information for any other purposes. All contact information provided shall also be maintained in accordance with our Privacy Policy.