Promotional price valid on web orders only. Your contract pricing may differ. Interested in signing up for a dedicated account number?
Learn More
Learn More
ABH1 Rabbit anti-Human, Mouse, Rat, Clone: 5K4W5, Novus Biologicals™

Rabbit Monoclonal Antibody
Supplier: Novus Biologicals NBP316787100UL
Description
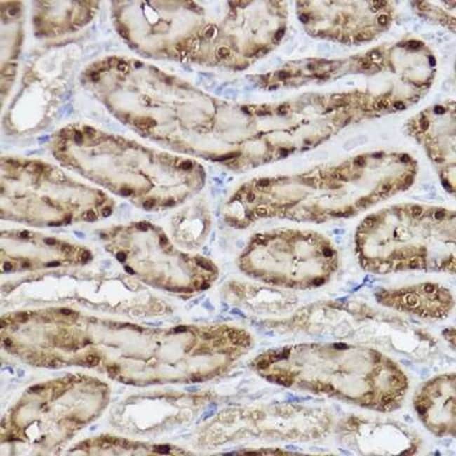
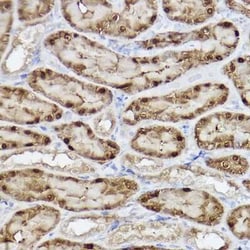
ABH1 Monoclonal antibody specifically detects ABH1 in Human, Mouse, Rat samples. It is validated for Western Blot, Immunohistochemistry, Immunofluorescence, Immunohistochemistry (Paraffin)Specifications
ABH1 | |
Monoclonal | |
Unconjugated | |
PBS, 0.05% BSA, 50% glycerol, pH7.3 | |
Rabbit | |
Affinity purified | |
RUO | |
Primary | |
Human, Mouse, Rat | |
Purified |
Western Blot, Immunohistochemistry, Immunofluorescence, Immunohistochemistry (Paraffin) | |
5K4W5 | |
Western Blot, Immunohistochemistry 1:50 - 1:200, Immunocytochemistry/Immunofluorescence, Immunohistochemistry-Paraffin | |
ABH1, ABHalkB, alkylation repair homolog (E. coli), alkB, alkB, alkylation repair homolog 1 (E. coli), ALKBH, alkylated DNA repair protein alkB homolog 1, alkylation repair, alkB homolog, Alpha-ketoglutarate-dependent dioxygenase ABH1, DNA lyase ABH1, EC 1.14.11.-, EC 4.2.99.18, hABH | |
A synthetic peptide corresponding to a sequence within amino acids 1-100 of human ABH1 (Q13686). | |
100 μg | |
DNA Repair | |
8846 | |
Store at -20°C. Avoid freeze-thaw cycles. | |
IgG |
Product Content Correction
Your input is important to us. Please complete this form to provide feedback related to the content on this product.
Product Title
Spot an opportunity for improvement?Share a Content Correction