Promotional price valid on web orders only. Your contract pricing may differ. Interested in signing up for a dedicated account number?
Learn More
Learn More
AIF Rabbit anti-Human, Mouse, Rat, Clone: 5F0Y1, Novus Biologicals™

Rabbit Monoclonal Antibody
Supplier: Novus Biologicals NBP31575920UL
This item is not returnable.
View return policy
Description
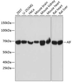
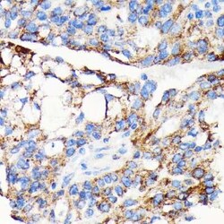
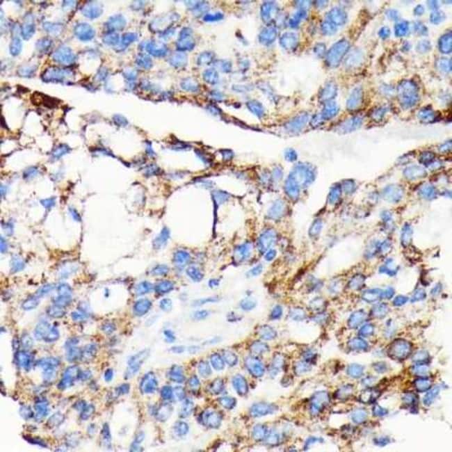
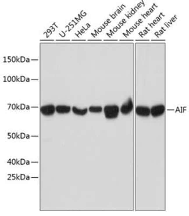
AIF Monoclonal antibody specifically detects AIF in Human, Mouse, Rat samples. It is validated for Western Blot, Immunohistochemistry, Immunohistochemistry (Paraffin)Specifications
| AIF | |
| Monoclonal | |
| Unconjugated | |
| PBS, 0.05% BSA, 50% glycerol, pH7.3 | |
| Rabbit | |
| Affinity purified | |
| RUO | |
| Primary | |
| Human, Mouse, Rat | |
| Purified |
| Western Blot, Immunohistochemistry, Immunohistochemistry (Paraffin) | |
| 5F0Y1 | |
| Western Blot, Immunohistochemistry 1:50 - 1:200, Immunohistochemistry-Paraffin | |
| AIFapoptosis-inducing factor 1, mitochondrial, apoptosis-inducing factor, mitochondrion-associated, 1, COXPD6, MGC111425, PDCD8striatal apoptosis-inducing factor, programmed cell death 8 (apoptosis-inducing factor), Programmed cell death protein 8 | |
| A synthetic peptide corresponding to a sequence within amino acids 450-550 of human AIF (O95831). | |
| 20 μg | |
| Apoptosis, Cancer, Cell Biology, Cell Cycle and Replication, Chromatin Research, Inhibitors Activators and Regulators, Mitochondrial Markers, Tumor Suppressors | |
| 9131 | |
| Store at -20°C. Avoid freeze-thaw cycles. | |
| IgG |
Product Content Correction
Your input is important to us. Please complete this form to provide feedback related to the content on this product.
Product Title
Spot an opportunity for improvement?Share a Content Correction