Promotional price valid on web orders only. Your contract pricing may differ. Interested in signing up for a dedicated account number?
Learn More
Learn More
Aldolase A Antibody (7D8), Novus Biologicals™

Rabbit Monoclonal Antibody
Supplier: Novus Biologicals NBP326511100UL
Description
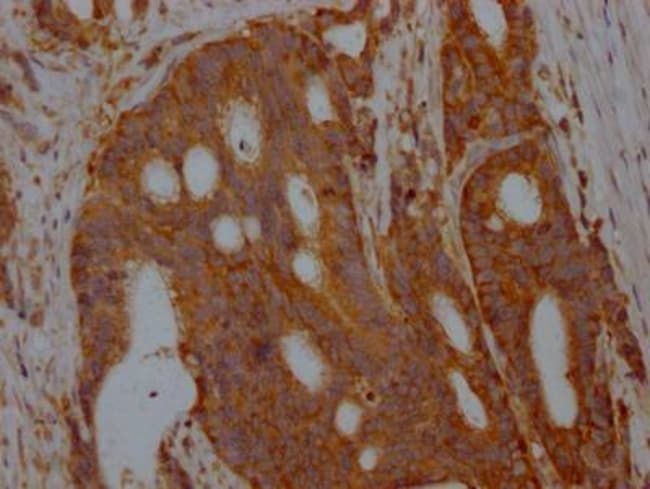
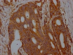
Aldolase A Monoclonal antibody specifically detects Aldolase A in Human, Mouse, Rat samples. It is validated for Western Blot, ELISA, Immunohistochemistry, ImmunocytochemistrySpecifications
Aldolase A | |
Monoclonal | |
Unconjugated | |
PBS, pH 7.4, 150mM NaCl and 50% glycerol | |
Rabbit | |
Affinity purified | |
RUO | |
Primary | |
Human, Mouse, Rat | |
Purified |
Western Blot, ELISA, Immunohistochemistry, Immunocytochemistry | |
7D8 | |
Western Blot 1:500-1:5000, ELISA, Immunohistochemistry 1:50-1:200, Immunocytochemistry/Immunofluorescence 1:20-1:200 | |
ALDA, aldolase A, fructose-bisphosphate, EC 4.1.2.13, fructose-1,6-bisphosphate triosephosphate-lyase, fructose-bisphosphate aldolase A, GSD12, Lung cancer antigen NY-LU-1, MGC10942, MGC17716, MGC17767, Muscle-type aldolase | |
A synthesized peptide derived from Human Aldolase A [UniProt P04075] | |
100 μL | |
Cancer, Cell Cycle and Replication | |
226 | |
Store at -20 to -70C. Avoid freeze-thaw cycles. | |
IgG |
Product Content Correction
Your input is important to us. Please complete this form to provide feedback related to the content on this product.
Product Title
Spot an opportunity for improvement?Share a Content Correction