Promotional price valid on web orders only. Your contract pricing may differ. Interested in signing up for a dedicated account number?
Learn More
Learn More
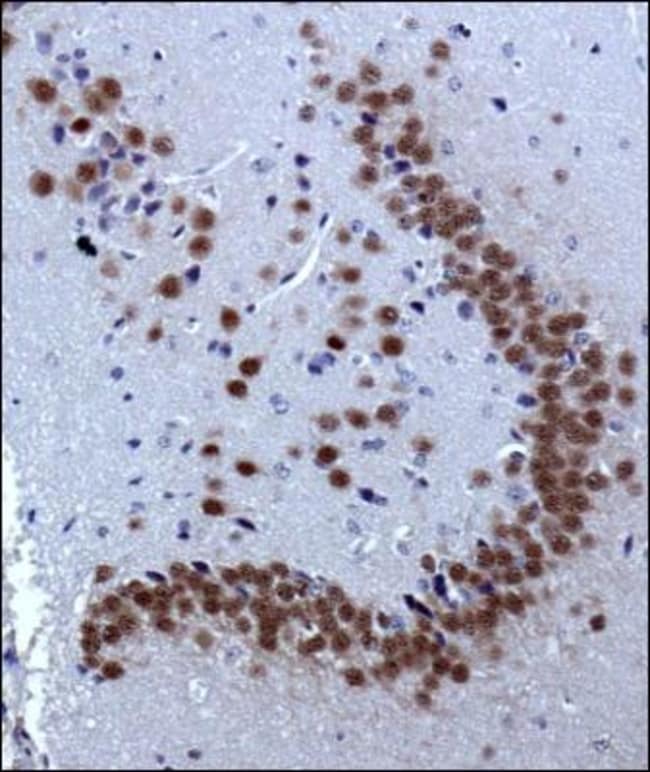
A2BP1 Antibody (D8H8), Novus Biologicals™

Mouse Monoclonal Antibody has been used in 3 publications
Supplier: Novus Biologicals NBP213169SS
Description
A2BP1 Monoclonal specifically detects A2BP1 in Human, Mouse samples. It is validated for Western Blot, Simple Western, Immunohistochemistry, Immunocytochemistry/Immunofluorescence, Immunoprecipitation, Immunohistochemistry-Paraffin, Immunohistochemistry-Frozen.Specifications
| A2BP1 | |
| Monoclonal | |
| 1.0 mg/mL | |
| Western Blot 1:1000, Simple Western 1:20, Immunohistochemistry 1:200, Immunocytochemistry/Immunofluorescence 1:50-1:100, Immunoprecipitation 1:10-1:100, Immunohistochemistry-Paraffin 1:200, Immunohistochemistry-Frozen reported in scientific literature (PMID 30001398) | |
| 2BP1, A2BP, A2BP1 Hexaribonucleotide-binding protein 1, Ataxin-2-binding protein 1, FOX-1, FOX1 hexaribonucleotide binding protein 1, Fox-1 homolog A, HRNBP1 ataxin 2-binding protein 1, RNA binding protein fox-1 homolog 1, RNA binding protein, fox-1 homolog (C. elegans) 1 | |
| Mouse | |
| Protein G purified | |
| RUO | |
| Primary | |
| Does not cross react with paralogue FOX2 | |
| Store at 4C short term. Aliquot and store at -20C long term. Avoid freeze-thaw cycles. | |
| IgG1 κ |
| Western Blot, Immunohistochemistry, Immunocytochemistry, Immunofluorescence, Immunoprecipitation, Immunohistochemistry (Paraffin) | |
| D8H8 | |
| Unconjugated | |
| Q9NWB1, Q9JJ43 | |
| RBFOX1 | |
| Mouse recombinant A2BP1 [Swiss-Prot# Q9JJ43] | |
| 0.025 mL | |
| Epigenetics, Neuroscience | |
| 54715 | |
| Human, Mouse | |
| Purified |
Product Content Correction
Your input is important to us. Please complete this form to provide feedback related to the content on this product.
Product Title
For Research Use Only
Spot an opportunity for improvement?Share a Content Correction