Promotional price valid on web orders only. Your contract pricing may differ. Interested in signing up for a dedicated account number?
Learn More
Learn More
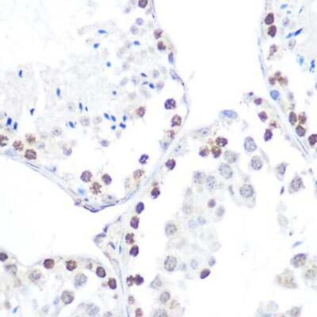
AMPK beta 1 Rabbit anti-Human, Mouse, Rat, Polyclonal, Novus Biologicals™

Rabbit Polyclonal Antibody
Supplier: Novus Biologicals NBP316943100UL
Description
AMPK beta 1 Polyclonal antibody specifically detects AMPK beta 1 in Human, Mouse, Rat samples. It is validated for Western Blot, Immunohistochemistry, Immunohistochemistry (Paraffin)Specifications
| AMPK beta 1 | |
| Polyclonal | |
| Western Blot, Immunohistochemistry 1:50 - 1:200, Immunohistochemistry-Paraffin | |
| 5'-AMP-activated protein kinase beta-1 subunit, AMP-activated protein kinase beta subunit, AMPK, AMPK beta -1 chain, AMPK beta 1,5'-AMP-activated protein kinase subunit beta-1, AMPK subunit beta-1, AMPKb, HAMPKb, MGC17785, protein kinase, AMP-activated, beta 1 non-catalytic subunit, protein kinase, AMP-activated, noncatalytic, beta-1 | |
| A synthetic phosphorylated peptide around S182 of human AMPK beta 1 (NP_006244.2). | |
| 100 μg | |
| Cancer, Hypoxia, mTOR Pathway, Phospho Specific | |
| 5564 | |
| Store at -20°C. Avoid freeze-thaw cycles. | |
| IgG |
| Western Blot, Immunohistochemistry, Immunohistochemistry (Paraffin) | |
| Unconjugated | |
| PBS, 50% glycerol, pH7.3 | |
| Rabbit | |
| Affinity purified | |
| RUO | |
| Primary | |
| Human, Mouse, Rat | |
| Purified |
Product Content Correction
Your input is important to us. Please complete this form to provide feedback related to the content on this product.
Product Title
Spot an opportunity for improvement?Share a Content Correction