Promotional price valid on web orders only. Your contract pricing may differ. Interested in signing up for a dedicated account number?
Learn More
Learn More
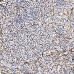
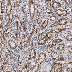
Stabilin-2 Antibody, Novus Biologicals™

Rabbit Polyclonal Antibody has been used in 1 publication
Supplier: Novus Biologicals NBP184197
Description
Stabilin-2 Polyclonal specifically detects Stabilin-2 in Human samples. It is validated for Immunohistochemistry, Immunocytochemistry/Immunofluorescence, Immunohistochemistry-Paraffin.Specifications
| Stabilin-2 | |
| Polyclonal | |
| Immunohistochemistry 1:200 - 1:500, Immunocytochemistry/Immunofluorescence 1 - 4 ug/ml, Immunohistochemistry-Paraffin 1:200 - 1:500 | |
| Q8WWQ8 | |
| STAB2 | |
| This antibody was developed against Recombinant Protein corresponding to amino acids:VVLEEKLLKNDLHNGMHRETMLGFSYFLSFFLHNDQLYVNEAPINYTNVATDKGVIHGLGKVLEIQKNRCDNNDTTIIRGRCRTCSSELTCPFGTKSLGNEKRRCIYTSYFMGRRTLFIGCQPKCVRTVITR | |
| 0.1 mL | |
| Primary | |
| Specificity of antibody verified on a Protein Array containing target protein plus 383 other non-specific proteins. | |
| Store at 4C short term. Aliquot and store at -20C long term. Avoid freeze-thaw cycles. |
| Immunohistochemistry, Immunocytochemistry, Immunofluorescence, Immunohistochemistry (Paraffin) | |
| Unconjugated | |
| PBS (pH 7.2) and 40% Glycerol with 0.02% Sodium Azide | |
| CD44-like precursor FELL, DKFZP434E0321, FAS1 EGF-like and X-link domain containing adhesion molecule-2, FAS1 EGF-like and X-link domain-containing adhesion molecule 2, fasciclin egf-like, laminin-type egf-like, and link domain-containing scavengerreceptor-2, Fasciclin, EGF-like, laminin-type EGF-like and link domain-containing scavengerreceptor 2, FEEL2, FEEL-2, FELE-2, FELL, FEX2, HAREFELL2, hepatic hyaluronan clearance receptor, Hyaluronan receptor for endocytosis, hyaluronic acid receptor for endocytosis, STAB-2, stabilin 2, stabilin-2 | |
| Rabbit | |
| Affinity Purified | |
| RUO | |
| 55576 | |
| Human | |
| IgG |
Product Content Correction
Your input is important to us. Please complete this form to provide feedback related to the content on this product.
Product Title
For Research Use Only
Spot an opportunity for improvement?Share a Content Correction