Promotional price valid on web orders only. Your contract pricing may differ. Interested in signing up for a dedicated account number?
Learn More
Learn More
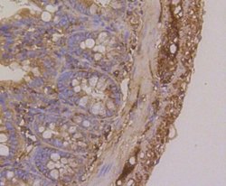
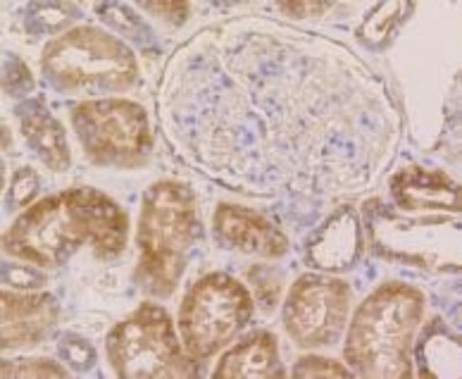
betaTubulin Rabbit anti-Human, Clone: SR25-04, Novus Biologicals™

Rabbit Monoclonal Antibody
Supplier: Novus Biologicals NBP267341
Description
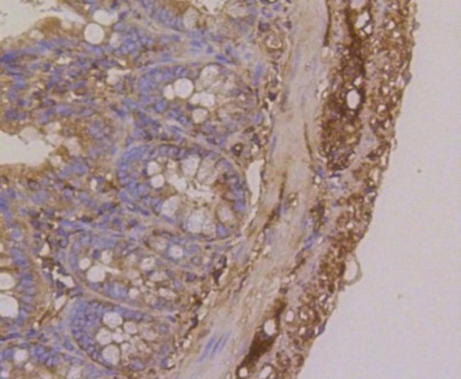
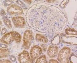
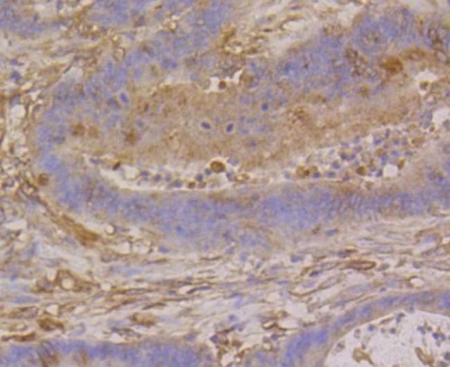
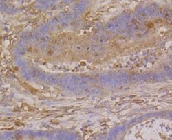
beta Tubulin Monoclonal specifically detects beta Tubulin in Human, Mouse, Rat samples. It is validated for Western Blot, Flow Cytometry, Immunohistochemistry, Immunocytochemistry/Immunofluorescence, Immunohistochemistry-Paraffin.Specifications
| betaTubulin | |
| Monoclonal | |
| 1 mg/mL | |
| Western Blot 1:500-1:5000, Flow Cytometry 1:50-1:100, Immunohistochemistry, Immunocytochemistry/Immunofluorescence 1:50-1:200, Immunohistochemistry-Paraffin 1:100-400 | |
| beta polypeptide, MGC117247, Tubb5, tubulin beta chain, tubulin beta polypeptide, tubulin beta-1 chain, Tubulin beta-5 chain, tubulin, beta | |
| Rabbit | |
| Protein A purified | |
| Apoptosis, Breast Cancer, Cellular Markers, Cytoskeleton Markers, Signal Transduction | |
| 203068 | |
| Store at 4°C short term. Aliquot and store at -20°C long term. Avoid freeze-thaw cycles. | |
| IgG |
| Western Blot, Flow Cytometry, Immunohistochemistry, Immunocytochemistry, Immunofluorescence, Immunohistochemistry (Paraffin) | |
| SR25-04 | |
| Unconjugated | |
| TBS (pH7.4), 0.05% BSA, 40% Glycerol with 0.05% Sodium Azide | |
| TUBB | |
| Synthetic peptide within Human beta Tubulin aa 308-357/ 444. (SwissProt: P07437 Human; SwissProt: P99024 Mouse; SwissProt: P69897 Rat) | |
| 100 μL | |
| Primary | |
| Human, Mouse, Rat | |
| Purified |
Product Content Correction
Your input is important to us. Please complete this form to provide feedback related to the content on this product.
Product Title
Spot an opportunity for improvement?Share a Content Correction