Learn More
Description
Specifications
Specifications
| Antigen | BOP1 |
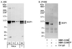
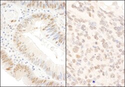
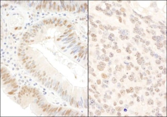
| Applications | Western Blot, Immunohistochemistry, Immunoprecipitation, Immunohistochemistry (Paraffin) |
| Classification | Polyclonal |
| Concentration | 0.2 mg/mL |
| Conjugate | Unconjugated |
| Dilution | Western Blot 1:2000-1:10000, Immunohistochemistry 1:200 - 1:500, Immunoprecipitation 2-5 ug/mg lysate, Immunohistochemistry-Paraffin 1:200 - 1:500 |
| Formulation | TBS and 0.1% BSA with 0.09% Sodium Azide |
| Gene Accession No. | NP_056016.1 |
| Gene Alias | block of proliferation 1, KIAA0124Block of proliferation 1 protein, ribosome biogenesis protein BOP1 |
| Gene Symbols | BOP1 |
| Show More |
For Research Use Only
By clicking Submit, you acknowledge that you may be contacted by Fisher Scientific in regards to the feedback you have provided in this form. We will not share your information for any other purposes. All contact information provided shall also be maintained in accordance with our Privacy Policy.
