Promotional price valid on web orders only. Your contract pricing may differ. Interested in signing up for a dedicated account number?
Learn More
Learn More
BSPRY Rabbit anti-Human, Polyclonal, Novus Biologicals™

Rabbit Polyclonal Antibody
Supplier: Novus Biologicals NBP317219100UL
This item is not returnable.
View return policy
Description
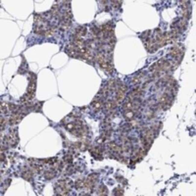
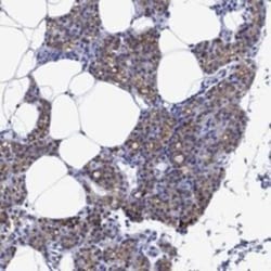
BSPRY Polyclonal antibody specifically detects BSPRY in Human samples. It is validated for Immunohistochemistry, Immunohistochemistry (Paraffin)Specifications
BSPRY | |
Polyclonal | |
Immunohistochemistry 1:50 - 1:200, Immunohistochemistry-Paraffin 1:50 - 1:200 | |
B box and SPRY domain-containing protein, B-box and SPRY domain containing, B-box and SPRY-domain containing protein, FLJ20150, zetin 1 | |
This antibody was developed against Recombinant Protein corresponding to amino acids: VADVLPGKNQRAVSMASAARELVIQRLSLVRSLCESEEQRLLEQVHGEEERAHQSILTQRVHWAEALQKLDTIRTGLVGMLTHLDDLQLIQKEQEI | |
100 μg | |
Primary | |
Human | |
Purified |
Immunohistochemistry, Immunohistochemistry (Paraffin) | |
Unconjugated | |
PBS, pH 7.2, 40% glycerol | |
Rabbit | |
Affinity purified | |
RUO | |
54836 | |
Store at 4°C short term. Aliquot and store at -20°C long term. Avoid freeze-thaw cycles. | |
IgG |
Product Content Correction
Your input is important to us. Please complete this form to provide feedback related to the content on this product.
Product Title
Spot an opportunity for improvement?Share a Content Correction