Promotional price valid on web orders only. Your contract pricing may differ. Interested in signing up for a dedicated account number?
Learn More

BTF Rabbit anti-Human, Polyclonal, Bethyl Laboratories

Catalog No. 501558038
Encompass_Preferred
Change view
Click to view available options
Quantity:
100 μL
1 product options available for selection
Product selection table with 1 available options. Use arrow keys to navigate and Enter or Space to select.
Catalog No. Quantity
50-155-8038 100 μL
Use arrow keys to navigate between rows. Press Enter or Space to select a product option. 1 options available.
1 options
Catalog No. 50-155-8038 Supplier Bethyl Laboratories, Inc Supplier No. A300610A
Only null left
Add to Cart
Add to Cart

Rabbit Polyclonal Antibody

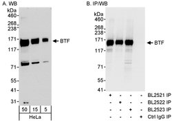
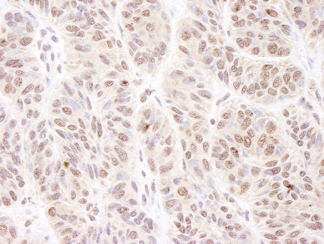
The recommended shelf life for this product is 1 year from date of receipt. Application Note: For IHC, epitope retrieval with citrate buffer pH 6.0 is recommended for FFPE tissue sections. Based on 100% sequence identity, this antibody is predicted to react with Mouse

BCLAF1 is an intracellular, death promoting transcriptional repressor of survival genes that interacts with several members of the BCL2 family of proteins. It shows homology to the basic leucine zipper (bzip) and MYB DNA binding domains. From recent research it can be concluded that in case of apoptotic cells this protein localizes to dot-like structures throughout the nucleus, and redistributes to a zone near the nuclear envelope. When over expressed this protein induces apoptosis and can be suppressed by co-expression of BCL2 proteins. Also known as BTF, it triggers a proapoptotic signal, potentially helpful to overcome the resistance to STI571. BCLAF1 is found to express mostly in skeletal muscles.

Specifications

Antigen BTF
Applications Immunohistochemistry, Immunoprecipitation, Western Blot
Classification Polyclonal
Concentration 0.2 mg/ml
Conjugate Unconjugated
Formulation TBS with 0.1% BSA and 0.09% sodium azide
Gene BCLAF1
Gene Accession No. Q9NYF8
Gene Alias bK211L9.1
Gene Symbols BCLAF1
Host Species Rabbit
Immunogen Between 875 and C-term
Purification Method Antigen affinity chromatography
Quantity 100 μL
Regulatory Status RUO
Primary or Secondary Primary
Gene ID (Entrez) 9774
Target Species Human
Content And Storage 4° C
Product Type Antibody
Form Liquid
Isotype IgG
Show More Show Less
Product Title
Select an issue

By clicking Submit, you acknowledge that you may be contacted by Fisher Scientific in regards to the feedback you have provided in this form. We will not share your information for any other purposes. All contact information provided shall also be maintained in accordance with our Privacy Policy.