Promotional price valid on web orders only. Your contract pricing may differ. Interested in signing up for a dedicated account number?
Learn More

cAbl Rabbit anti-Human, Polyclonal, Bethyl Laboratories

Rabbit Polyclonal Antibody

Supplier:  Bethyl Laboratories, Inc A301661AT

Encompass_Preferred

Catalog No. 50-156-0936


May include imposed supplier surcharges.
Only null left
Add to Cart

Description

Description

The recommended shelf life for this product is 1 year from date of receipt.

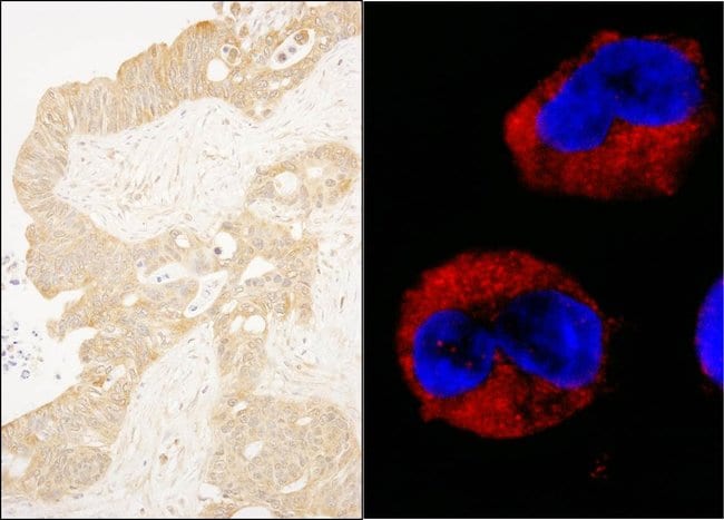
c-Abl (Abelson murine leukemia viral oncogene homolog 1, ABL1) is a 140 kDa proto-oncogene member of the Src family of non-receptor tyrosine kinases. c-Abl has been implicated in processes of cell differentiation, cell division, cell adhesion, and stress response. Activity of c-Abl protein is negatively regulated by its SH3 domain, and deletion of the SH3 domain turns c-Abl into an oncogene. The t(9;22) translocation results in the head-to-tail fusion of the BCR and c-Abl genes present in many cases of chronic myelogeneous leukemia. The DNA-binding activity of the ubiquitously expressed ABL1 tyrosine kinase is regulated by CDC2-mediated phosphorylation, suggesting a cell cycle function for c-Abl. In chronic myelogenous leukemia and a subset of acute lymphoblastic leukemias, the c-Abl proto oncogene undergoes a (9;22) chromosomal translocation producing a novel rearranged chromosome (the Philadelphia chromosome) As the result of the fusion of c-Abl sequences from chromosome 9 to the Bcr gene on chromosome 22. The molecular consequence of this translocation is the generation of a chimeric Bcr/Abl mRNA encoding activated Abl protein tyrosine kinase. The c-Abl oncogene was initially identified as the viral transforming gene of Abelson murine leukemia virus (A-MuLV). The major translational product of c-Abl has been identified as a protein with tyrosine kinase activity and an SH2 domain. The c-Abl oncogene is implicated in several human leukemias including 90-95% of chronic myelocytic leukemia (CML), 20-25% of adult acute lymphoblastic leukemia (ALL) and 2-5% of pediatric ALL. c-Abl localizes to dynamic actin structures, and phosphorylates CRK and CRKL, DOK1, and other proteins controlling cytoskeleton dynamics. c-ABL potentially regulates DNA repair by activating the proapoptotic pathway when the DNA damage is too severe to be repaired.
Specifications

Specifications

cAbl
Polyclonal
Unconjugated
ABL1
RP11-83J21.1, ABL, JTK7, bcr/abl, c-ABL, p150, v-abl
Rabbit
Antigen affinity chromatography
RUO
25
4° C
Liquid
Immunocytochemistry, Immunofluorescence, Immunohistochemistry, Immunoprecipitation
1 mg/ml
phosphate, tris citrate with 0.09% sodium azide; pH 7-8
P00519
ABL1
Between 850 and 900
10 μL
Primary
Human
Antibody
IgG
Product Suggestions

Product Suggestions

Videos
SDS
Documents

Documents

Product Certifications
Promotions

Promotions

Product Content Correction

The Fisher Scientific Encompass Program offers items which are not part of our distribution portfolio. These products typically do not have pictures or detailed descriptions. However, we are committed to improving your shopping experience. Please use the form below to provide feedback related to the content on this product.

Product Title

By clicking Submit, you acknowledge that you may be contacted by Fisher Scientific in regards to the feedback you have provided in this form. We will not share your information for any other purposes. All contact information provided shall also be maintained in accordance with our Privacy Policy.

Your feedback has been submitted: Thank you for helping us improve our website.