Promotional price valid on web orders only. Your contract pricing may differ. Interested in signing up for a dedicated account number?
Learn More
Learn More
Cadherin-8 Antibody, Novus Biologicals™

Rabbit Polyclonal Antibody
Supplier: Novus Biologicals NBP159221
Description
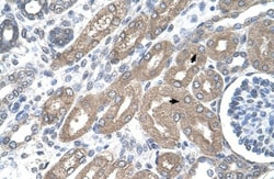
Cadherin-8 Polyclonal specifically detects Cadherin-8 in Human samples. It is validated for Western Blot, Immunohistochemistry, Immunohistochemistry-Paraffin.Specifications
| Cadherin-8 | |
| Polyclonal | |
| Unconjugated | |
| PBS, 2% Sucrose with 0.09% Sodium Azide | |
| cadherin 8, type 2, cadherin-8, Nbla04261, putative protein product of Nbla04261 | |
| Rabbit | |
| Affinity purified | |
| RUO | |
| 1006 | |
| Centrifuge the vial of lyoph antibody at 12,000 x g for 20 seconds. Add 50μL of distilled water. Vortex followed by centrifuge again to pellet the solution.Final concentration is 1mg/mL in PBS buffer. | |
| Store at 4°C short term. Aliquot and store at -20°C long term. Avoid freeze-thaw cycles. |
| Western Blot, Immunohistochemistry, Immunohistochemistry (Paraffin) | |
| 0.5 mg/ml | |
| Western Blot 1.0 ug/ml, Immunohistochemistry 1:10-1:500, Immunohistochemistry-Paraffin 1:10-1:500 | |
| P55286 | |
| CDH8 | |
| Synthetic peptides corresponding to CDH8(cadherin 8, type 2) The peptide sequence was selected from the middle region of CDH8. Peptide sequence HENAALNSVIGQVTARDPDITSSPIRFSIDRHTDLERQFNINADDGKITL. | |
| 100 μL | |
| Primary | |
| Expected identity based on immunogen sequence: Bovine: 100%; Canine: 100%; Equine: 100%; Human: 100%; Mouse: 100%; Rabbit: 100%; Rat: 100%; Chicken: 92%. | |
| Human, Mouse, Rat, Bovine, Canine, Equine, Guinea Pig, Rabbit, Zebrafish | |
| IgG |
Product Content Correction
Your input is important to us. Please complete this form to provide feedback related to the content on this product.
Product Title
Spot an opportunity for improvement?Share a Content Correction