Promotional price valid on web orders only. Your contract pricing may differ. Interested in signing up for a dedicated account number?
Learn More
Learn More
CADPS Antibody - BSA Free, Novus Biologicals™

Rabbit Polyclonal Antibody
Supplier: Novus Biologicals NBP177324
Description
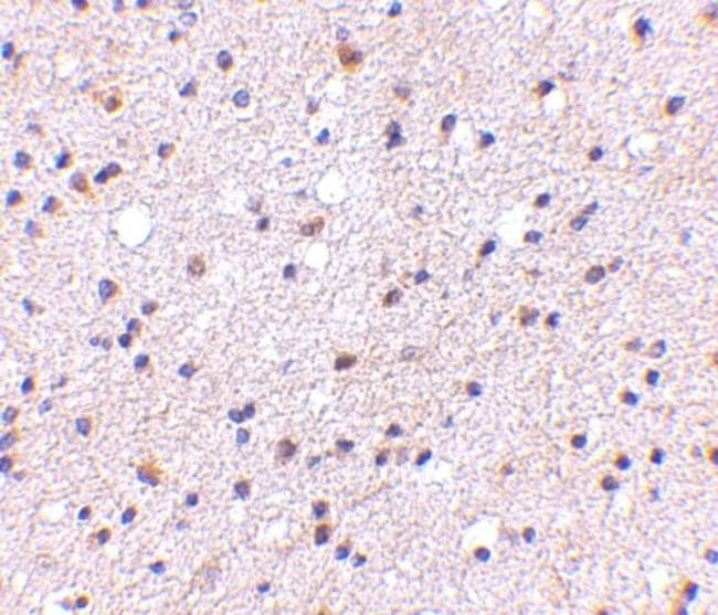
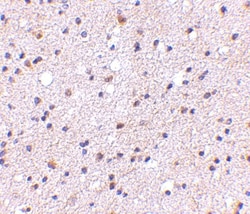
CADPS Polyclonal specifically detects CADPS in Human, Mouse, Rat samples. It is validated for Western Blot, ELISA, Immunohistochemistry, Immunocytochemistry/Immunofluorescence, Immunohistochemistry-Paraffin.Specifications
CADPS | |
Polyclonal | |
Unconjugated | |
PBS with 0.02% Sodium Azide | |
Ca++-dependent secretion activator, CADPS1, Calcium-dependent activator protein for secretion 1, calcium-dependent secretion activator 1, CAPS-1, CAPS1Ca2+-dependent secretion activator, CAPSCa2+-dependent activator protein for secretion, KIAA1121Ca2+-regulated cytoskeletal protein | |
Rabbit | |
Affinity Purified | |
RUO | |
8618 | |
Human, Mouse, Rat | |
IgG |
Western Blot, ELISA, Immunohistochemistry, Immunocytochemistry, Immunofluorescence, Immunohistochemistry (Paraffin) | |
1 mg/mL | |
Western Blot 0.25-0.5 μg/mL, ELISA 1:100-1:2000, Immunohistochemistry 5 μg/mL, Immunocytochemistry/Immunofluorescence 20 μg/mL, Immunohistochemistry-Paraffin 5 μg/mL | |
NP_899631 | |
CADPS | |
Antibody was raised against a 21 amino acid synthetic peptide near the amino terminus of the human CAPS1. The immunogen is located within amino acids 90 - 140 of CAPS1. Amino Acid Squence: SEKEKEELERLQKEEEERKKR | |
0.1 mg | |
Primary | |
Numerous isoforms of CAPS1 are known to exist. This CAPS1 antibody is predicted to be specific to CAPS1 and not recognize CAPS2. | |
Store at 4C short term. Aliquot and store at -20C long term. Avoid freeze-thaw cycles. |
Product Content Correction
Your input is important to us. Please complete this form to provide feedback related to the content on this product.
Product Title
For Research Use Only
Spot an opportunity for improvement?Share a Content Correction