Learn More
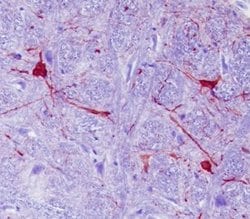
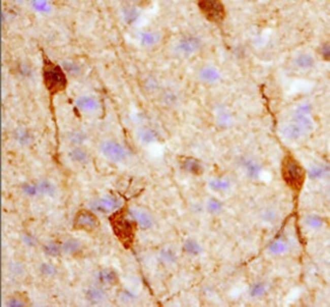
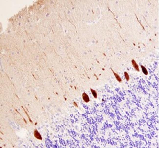
Invitrogen™ Calbindin D28K Monoclonal Antibody (401025)

Description
In direct ELISAs and Western blots, this antibody does not cross-react with recombinant human S100P. Reconstitute at 0.5 mg/mL in sterile PBS.
Specifications
Specifications
| Antigen | Calbindin D28K |
| Applications | Immunohistochemistry (Frozen), Immunohistochemistry (Paraffin), Western Blot |
| Classification | Monoclonal |
| Clone | 401025 |
| Concentration | 0.5 mg/mL |
| Conjugate | Unconjugated |
| Formulation | PBS with 5% trehalose and No Preservative |
| Gene | CALB1 |
| Gene Accession No. | P05937 |
| Gene Alias | Brain-2; CAB27; CaBP28K; Calb; CALB1; Calb-1; Calbindin; calbindin 1; calbindin 1, (28kD); calbindin 1, 28 kD; calbindin 1, 28kDa; calbindin D28; calbindin-28K; calbindin-D (28k); CalbindinD28K; CB; cerebellar Ca-binding protein spot 35 protein; cerebellar Ca-binding protein, spot 35 protein; D-28K; PCD-29; RTVL-H protein; spot 35 protein; Vitamin D-dependent calcium-binding protein, avian-type |
| Show More |
By clicking Submit, you acknowledge that you may be contacted by Fisher Scientific in regards to the feedback you have provided in this form. We will not share your information for any other purposes. All contact information provided shall also be maintained in accordance with our Privacy Policy.