Learn More
Invitrogen™ Calpain 2 Polyclonal Antibody

Description
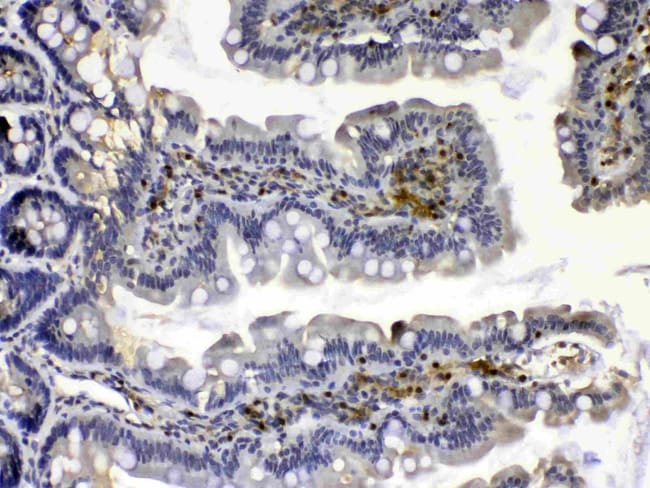
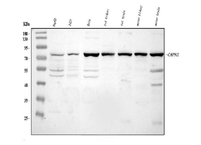
Reconstitute with 0.2 mL of distilled water to yield a concentration of 500 μg/mL. Positive Control - WB: human HepG2 whole cell, human A431 whole cell, human Hela whole cell, rat kidney tissue, rat brain tissue, mouse kidney tissue, mouse brain tissue. IHC: human intestinal cancer tissue, human lung cancer tissue, rat small intestine tissue. ICC/IF: HELA cell. Flow: U87 cell.
Specifications
Specifications
| Antigen | Calpain 2 |
| Applications | Flow Cytometry, Immunohistochemistry (Paraffin), Western Blot, Immunocytochemistry |
| Classification | Polyclonal |
| Concentration | 500 μg/mL |
| Conjugate | Unconjugated |
| Formulation | PBS with 4mg trehalose and 0.05mg sodium azide |
| Gene | CAPN2 |
| Gene Accession No. | O08529, P17655, Q07009 |
| Gene Alias | 80 kDa M-calpain subunit; AI326419; Calcium-activated neutral proteinase 2; calcium-dependent protease; CALP80; calpain 2; calpain 2, (m/II) large subunit; calpain 2, large [catalytic] subunit; calpain 2, large subunit; calpain II; calpain large polypeptide L2; Calpain M-type; calpain, large polypeptide L2; calpain-2 catalytic subunit; Calpain-2 large subunit; CANP 2; CANP2; CANPL2; CANPml; Capa2; Capa-2; CAPN2; cysteine proteinase; m-calpain; m-calpain 80 kDa large subunit; m-calpain large subunit; m-calpin; mCANP; millimolar-calpain |
| Gene Symbols | CAPN2 |
| Show More |
By clicking Submit, you acknowledge that you may be contacted by Fisher Scientific in regards to the feedback you have provided in this form. We will not share your information for any other purposes. All contact information provided shall also be maintained in accordance with our Privacy Policy.