Learn More
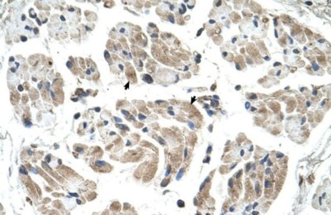
Carbohydrate Sulfotransferase 1/CHST1/KS6ST Antibody, Novus Biologicals™
Shop All R&D Systems Products

Description
Specifications
Specifications
| Antigen | Carbohydrate Sulfotransferase 1/CHST1/KS6ST |
| Applications | Western Blot, Immunohistochemistry, Immunohistochemistry (Paraffin) |
| Classification | Polyclonal |
| Concentration | 1 mg/ml |
| Conjugate | Unconjugated |
| Dilution | Western Blot 1.0 ug/ml, Immunohistochemistry 1:10-1:500, Immunohistochemistry-Paraffin 1:10-1:500 |
| Formulation | PBS, 2% Sucrose with 0.09% Sodium Azide |
| Gene Accession No. | O43916 |
| Gene Alias | C6ST, carbohydrate (chondroitin 6/keratan) sulfotransferase 1, carbohydrate (keratan sulfate Gal-6) sulfotransferase 1, carbohydrate sulfotransferase 1, EC 2.8.2, Galactose/N-acetylglucosamine/N-acetylglucosamine 6-O-sulfotransferase 1, GST-1, Keratan sulfate Gal-6 sulfotransferase, KS6ST, KSGAL6ST, KSGal6STEC 2.8.2.21, KSST |
| Gene Symbols | CHST1 |
| Show More |
For Research Use Only
By clicking Submit, you acknowledge that you may be contacted by Fisher Scientific in regards to the feedback you have provided in this form. We will not share your information for any other purposes. All contact information provided shall also be maintained in accordance with our Privacy Policy.