Promotional price valid on web orders only. Your contract pricing may differ. Interested in signing up for a dedicated account number?
Learn More
Learn More
CBX3 Rabbit anti-Human, Mouse, Rat, Clone: 7B7Q2, Novus Biologicals™

Rabbit Monoclonal Antibody
Supplier: Novus Biologicals NBP31636820UL
This item is not returnable.
View return policy
Description
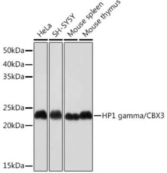
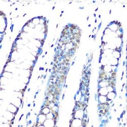
CBX3 Monoclonal antibody specifically detects CBX3 in Human, Mouse, Rat samples. It is validated for Western Blot, Immunohistochemistry, Immunohistochemistry (Paraffin)Specifications
CBX3 | |
Monoclonal | |
Unconjugated | |
PBS, 0.05% BSA, 50% glycerol, pH7.3 | |
Rabbit | |
Affinity purified | |
RUO | |
Primary | |
Human, Mouse, Rat | |
Purified |
Western Blot, Immunohistochemistry, Immunohistochemistry (Paraffin) | |
7B7Q2 | |
Western Blot, Immunohistochemistry 1:50 - 1:200, Immunohistochemistry-Paraffin | |
chromobox homolog 3, chromobox homolog 3 (Drosophila HP1 gamma), chromobox protein homolog 3, Drosophila), HECH, Heterochromatin protein 1 homolog gamma, heterochromatin protein HP1 gamma, heterochromatin-like protein 1, HP1 gamma, HP1 gamma homolog, HP1-GAMMA, Modifier 2 protein | |
A synthetic peptide corresponding to a sequence within amino acids 1-100 of human CBX3 (Q13185). | |
20 μg | |
Core ESC Like Genes, Stem Cell Markers | |
11335 | |
Store at -20°C. Avoid freeze-thaw cycles. | |
IgG |
Product Content Correction
Your input is important to us. Please complete this form to provide feedback related to the content on this product.
Product Title
Spot an opportunity for improvement?Share a Content Correction