Learn More
Description
Specifications
Specifications
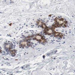
| Antigen | CD117/c-kit |
| Applications | Immunohistochemistry, Immunohistochemistry (Paraffin) |
| Classification | Polyclonal |
| Conjugate | Unconjugated |
| Dilution | Immunohistochemistry, Immunohistochemistry-Paraffin 1:50 - 1:200 |
| Formulation | PBS (pH 7.2) and 40% Glycerol with 0.02% Sodium Azide |
| Gene Alias | CD117, CD117 antigen, ckit, C-Kit, EC 2.7.10, EC 2.7.10.1, PBT, piebald trait, Proto-oncogene c-Kit, proto-oncogene tyrosine-protein kinase Kit, SCFRmast/stem cell growth factor receptor, soluble KIT variant 1, Tyrosine-protein kinase Kit, v-kit Hardy-Zuckerman 4 feline sarcoma viral oncogene homolog, v-kit Hardy-Zuckerman 4 feline sarcoma viral oncogene-like protein |
| Gene Symbols | KIT |
| Host Species | Rabbit |
| Immunogen | This antibody was developed against Recombinant Protein corresponding to amino acids:VGDEIRLLCTDPGFVKWTFEILDETNENKQNEWITEKAEATNTGKYTCTNKHGLSNSIYVFVRDPAKLFLVDRSLYGKEDNDTLVRCPLTDPEVTNYSLKGCQGKPLPKDLRFIPDPKAGIMIKSVKRAYHRLCLHCSVDQ |
| Show More |
For Research Use Only
By clicking Submit, you acknowledge that you may be contacted by Fisher Scientific in regards to the feedback you have provided in this form. We will not share your information for any other purposes. All contact information provided shall also be maintained in accordance with our Privacy Policy.
