Promotional price valid on web orders only. Your contract pricing may differ. Interested in signing up for a dedicated account number?
                
Learn More
Learn More
                                    CD11c Antibody (ITGAX/1243) - Azide and BSA Free, Novus Biologicals™
 
                                    
                                    
                                    
                                    
                                
                            
                            
                            
                            
Mouse Monoclonal Antibody
Supplier: Novus Biologicals NBP254432200UG
Description
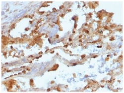
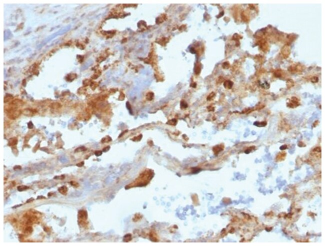
CD11c Monoclonal antibody specifically detects CD11c in Human samples. It is validated for Flow Cytometry, Immunocytochemistry/Immunofluorescence, Immunohistochemistry-Paraffin, CyTOF-ready.Specifications
| CD11c | |
| Monoclonal | |
| 1 mg/mL | |
| Flow Cytometry 0.5 - 1 ug/million cells, Immunocytochemistry/Immunofluorescence 0.5 - 1 ug/ml, Immunohistochemistry-Paraffin 0.5 - 1.0 ug/ml, CyTOF-ready | |
| 95, 95 alpha chain, 95, alpha subunit, CD11 antigen-like family member C, CD11c, CD11c antigen, CD11Cleu M5, alpha subunit, integrin alpha-X, integrin, alpha X (antigen CD11C (p150), alpha polypeptide), integrin, alpha X (complement component 3 receptor 4 subunit), Leu M5, Leukocyte adhesion glycoprotein p150, Leukocyte adhesion receptor p150, leukocyte surface antigen p150, myeloid membrane antigen, alpha subunit, p150 95 integrin alpha chain, SLEB6 | |
| Mouse | |
| 145 kDa | |
| 200 μg | |
| Primary | |
| Recognizes a protein of 145kDa, identified as CD11c. CD11c (ITGAX), a member of the leukointegrin family, shares the same beta subunit with other members of the leukocyte adhesion molecule family, which includes CD11a (LFA-1), CD11b (MAC-1) and CD11d (ITGAD), but has a unique alpha chain. CD11c has been shown to play a role in phagocytosis, cell migration, and cytokine production by monocytes/macrophages as well as induction of T-cell proliferation by Langerhans cells. CD11c is expressed prominently on the plasma membranes of monocytes, tissue macrophages, NK cells, and most dendritic cells (DCs). A lower level of expression is also observed on neutrophils as a result of its high level of expression on most DCs. An antibody to CD11c may aid in identification of lesions with histiocytic origin. It may also been used as a marker for hairy cell leukemia in paraffin-embedded tissues | |
| Store at -20 to -80C. Avoid freeze-thaw cycles. | |
| IgG κ | 
| Flow Cytometry, Immunocytochemistry, Immunofluorescence, Immunohistochemistry (Paraffin), CyTOF | |
| ITGAX/1243 | |
| Unconjugated | |
| PBS with No Preservative | |
| CD11c | |
| Recombinant fragment (191 Amino acid residues between aa 600-850) of human ITGAX protein | |
| Protein A or G purified | |
| RUO | |
| 3687 | |
| Human | |
| Purified | 
                    Product Content Correction
                
                Your input is important to us. Please complete this form to provide feedback related to the content on this product.
Product Title
			
            For Research Use Only
Spot an opportunity for improvement?Share a Content Correction
            