Promotional price valid on web orders only. Your contract pricing may differ. Interested in signing up for a dedicated account number?
Learn More
Learn More
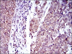
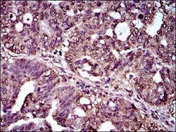
CD25/IL-2R alpha Antibody (1B5D12) - BSA Free, Novus Biologicals™

Mouse Monoclonal Antibody
Supplier: Novus Biologicals NBP237349
Description
CD25/IL-2R alpha Monoclonal specifically detects CD25/IL-2R alpha in Human, Mouse, Rat, Monkey, Primate samples. It is validated for Western Blot, ELISA, Immunohistochemistry, Immunocytochemistry/Immunofluorescence, Immunohistochemistry-Paraffin.Specifications
CD25/IL-2R alpha | |
Monoclonal | |
1 mg/mL | |
Western Blot 1:500 - 1:2000, ELISA 1:10000, Immunohistochemistry 1:200 - 1:1000, Immunocytochemistry/Immunofluorescence 1:200 - 1:1000, Immunohistochemistry-Paraffin 1:200 - 1:1000 | |
CD25, CD25 antigen, IDDM10, IL-2 receptor subunit alpha, IL2R, IL-2R subunit alpha, IL-2-RA, IL2-RA, interleukin 2 receptor, alpha, interleukin-2 receptor subunit alpha, p55, TAC antigen, TCGFR | |
Mouse | |
30.8 kDa | |
0.1 mL | |
Adaptive Immunity, Apoptosis, Biologically Active Proteins, Cytokine Research, Diabetes Research, Immunology, Innate Immunity, Mast Cell Markers, Signal Transduction | |
3559 | |
Store at 4C short term. Aliquot and store at -20C long term. Avoid freeze-thaw cycles. |
Western Blot, ELISA, Immunohistochemistry, Immunocytochemistry, Immunofluorescence, Immunohistochemistry (Paraffin) | |
1B5D12 | |
Unconjugated | |
PBS with 0.05% Sodium Azide | |
IL2RA | |
Purified recombinant fragment of human IL2RA (AA: 34-139) expressed in E. Coli. | |
Affinity Purified | |
RUO | |
Primary | |
Human, Mouse, Rat, Monkey, Primate | |
IgG1 |
Product Content Correction
Your input is important to us. Please complete this form to provide feedback related to the content on this product.
Product Title
For Research Use Only
Spot an opportunity for improvement?Share a Content Correction