Promotional price valid on web orders only. Your contract pricing may differ. Interested in signing up for a dedicated account number?
Learn More
Learn More
CD45RO Mouse, Clone: SPM125, Novus Biologicals™

Mouse Monoclonal Antibody
Supplier: Novus Biologicals NBP2329390.2MG
Description
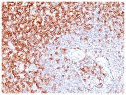
CD45RO Monoclonal specifically detects CD45RO in Human, Chimpanzee, Monkey samples. It is validated for Western Blot, Flow Cytometry, Immunohistochemistry, Immunocytochemistry/Immunofluorescence, Immunohistochemistry-Paraffin.Specifications
CD45RO | |
Monoclonal | |
Unconjugated | |
PBS with 0.05% BSA. with 0.05% Sodium Azide | |
B220, CD45 antigen, CD45R, EC 3.1.3.48, L-CA, LY5, protein tyrosine phosphatase, receptor type, C, receptor-type tyrosine-protein phosphatase C, T200 glycoprotein, T200 leukocyte common antigen, T200receptor type, c polypeptide | |
Mouse | |
Protein A purified | |
RUO | |
Primary | |
Recognizes a 180-185kDa protein, identified as isoform of leukocyte common antigen (CD45RO). The epitope recognized by this antibody is sensitive to neuraminidase digestion. This antibody reacts with mature activated T-cells, most thymocytes, and a sub-population of resting T-cells within both CD4 and CD8 subsets. It shows no reactivity with normal B or natural killer cells, but reacts with granulocytes and monocytes. Reportedly, it is useful to identify T-cell lymphomas and leukemias. It rarely stains NK cells or B-cell lymphomas. | |
Store at 4C. | |
IgG2a κ |
Western Blot, Flow Cytometry, Immunocytochemistry, Immunofluorescence, Immunoprecipitation, Immunohistochemistry (Paraffin) | |
SPM125 | |
Western Blot 0.5-1ug/ml, Flow Cytometry 0.5-1ug/million cells, Immunocytochemistry/Immunofluorescence 1-2ug/ml, Immunoprecipitation 0.5-1ug/500ug protein lysate, Immunohistochemistry-Paraffin 0.5-1.0ug/ml, Immunohistochemistry-Frozen 0.5-1.0ug/ml | |
P08575 | |
PTPRC | |
Cultured human T-cells from an IL-2-dependent T-cell line (CA1) | |
0.2 mg | |
Adaptive Immunity, Cell Biology, Cellular Markers, Cytokine Research, Hematopoietic Stem Cell Markers, Immunology, Mesenchymal Stem Cell Markers, Microglia Markers, Neuronal Cell Markers, Neuroscience, Signal Transduction, Stem Cell Markers | |
5788 | |
Human, Primate | |
Purified |
Product Content Correction
Your input is important to us. Please complete this form to provide feedback related to the content on this product.
Product Title
Spot an opportunity for improvement?Share a Content Correction