Learn More
Invitrogen™ CD99 Recombinant Rabbit Monoclonal Antibody (PD00-13)

Description
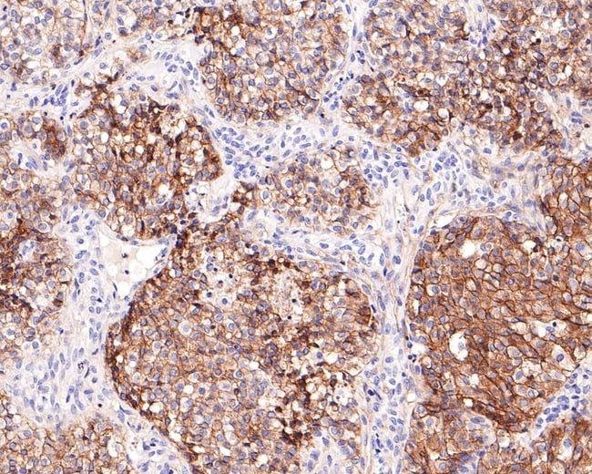
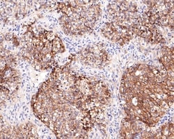
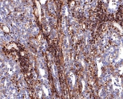
Positive control: Human esophagus tissue, human stomach carcinoma tissue, human ovary granulosa tumor tissue. Predicted band size: 19 kDa Subcellular Location: Membrane.
Specifications
Specifications
| Antigen | CD99 |
| Applications | Immunohistochemistry (Paraffin) |
| Classification | Recombinant Monoclonal |
| Clone | PD00-13 |
| Concentration | 1 mg/mL |
| Conjugate | Unconjugated |
| Formulation | PBS with 0.1% BSA, 40% glycerol and 0.05% sodium azide; pH 7.4 |
| Gene | CD99 |
| Gene Accession No. | P14209 |
| Gene Alias | 1110061M03Rik; 12E7; 2410026K10Rik; antigen identified by monoclonal 12E7, Y homolog; antigen identified by monoclonal antibodies 12E7, F21 and O13; Cd99; CD99 antigen; CD99 molecule; cell surface antigen 12E7; cell surface antigen HBA-71; cell surface antigen O13; D4; E2 antigen; HBA71; MIC2; MIC2 (monoclonal antibody 12E7); MIC2X; MIC2Y; MSK5X; paired immunoglobin-like type 2 receptor-ligand; pilr-1; Pilrl; PILR-L; Protein MIC2; surface antigen MIC2; T-cell surface glycoprotein E2 |
| Show More |
By clicking Submit, you acknowledge that you may be contacted by Fisher Scientific in regards to the feedback you have provided in this form. We will not share your information for any other purposes. All contact information provided shall also be maintained in accordance with our Privacy Policy.