Learn More
Description
Specifications
Specifications
| Antigen | CDCP1 |
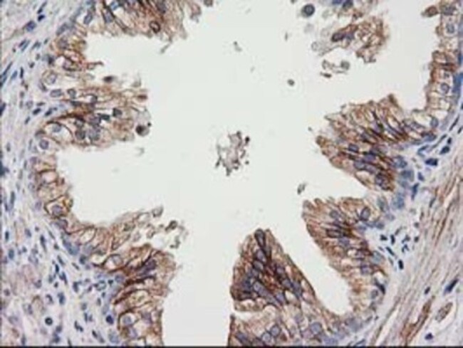
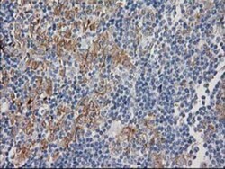
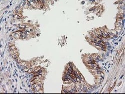
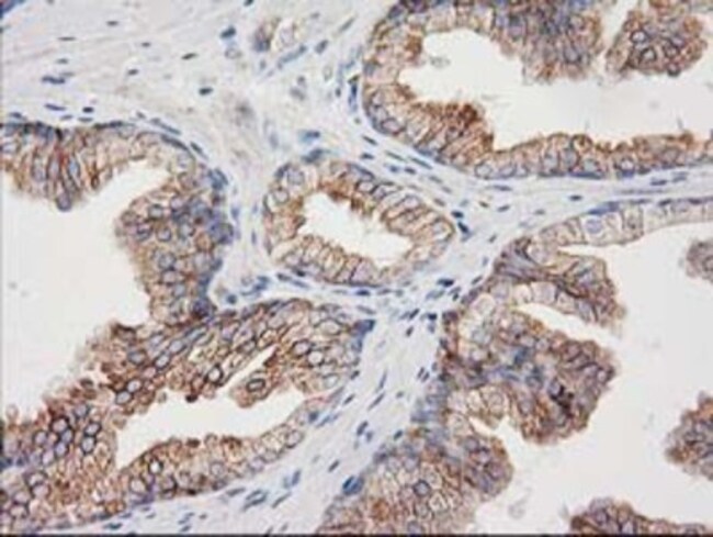
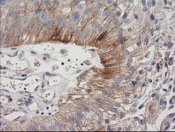
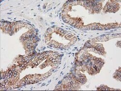
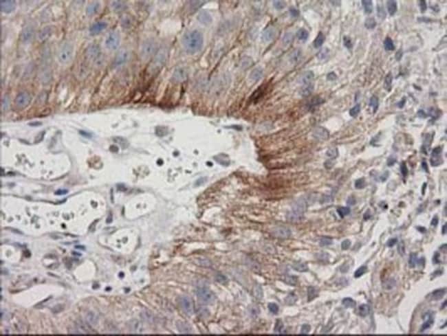
| Applications | Western Blot, Flow Cytometry, Immunohistochemistry, Immunocytochemistry, Immunofluorescence, Immunohistochemistry (Paraffin) |
| Classification | Monoclonal |
| Clone | OTI2C1 |
| Concentration | 0.58 mg/mL |
| Conjugate | Unconjugated |
| Dilution | Western Blot 1:200-500, Flow Cytometry 1:100, Immunohistochemistry 1:10-1:500, Immunocytochemistry/Immunofluorescence 1:100, Immunohistochemistry-Paraffin 1:150 |
| Gene Alias | CD318, CD318 antigen, CUB domain containing protein 1, CUB domain-containing protein 1, Membrane glycoprotein gp140, SIMA135TRASK, Subtractive immunization M plus HEp3-associated 135 kDa protein, Transmembrane and associated with src kinases |
| Gene Symbols | CDCP1 |
| Host Species | Mouse |
| Show More |
For Research Use Only
By clicking Submit, you acknowledge that you may be contacted by Fisher Scientific in regards to the feedback you have provided in this form. We will not share your information for any other purposes. All contact information provided shall also be maintained in accordance with our Privacy Policy.
