Learn More
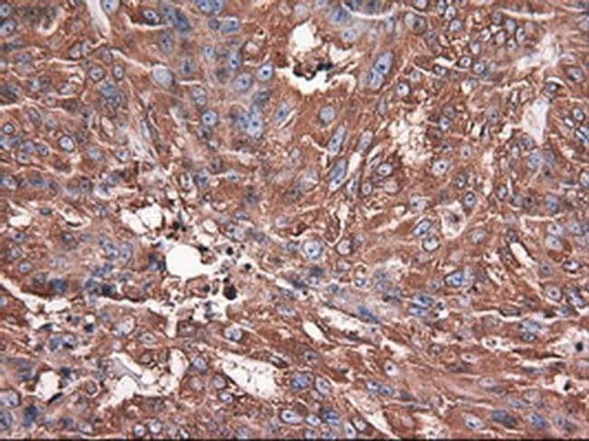
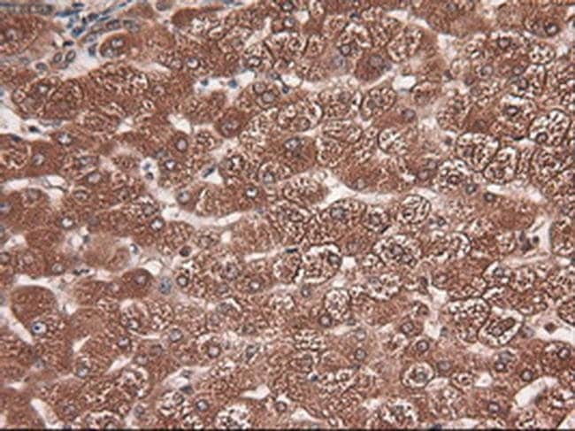
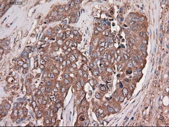
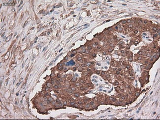
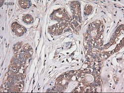
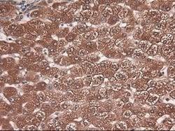
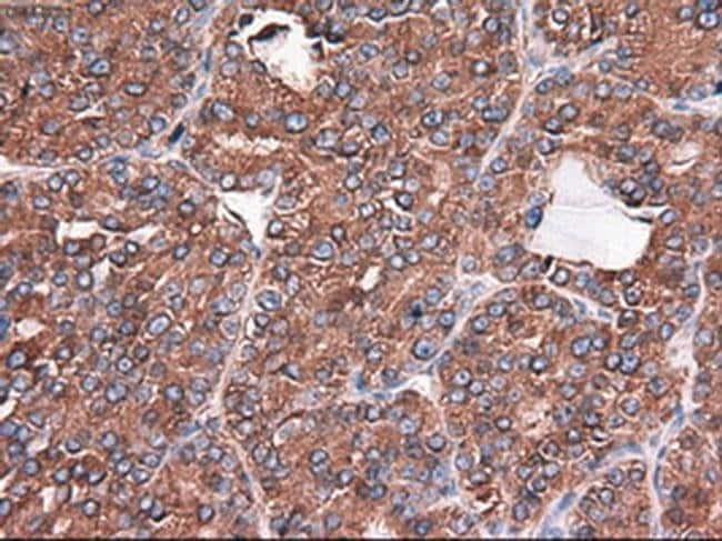
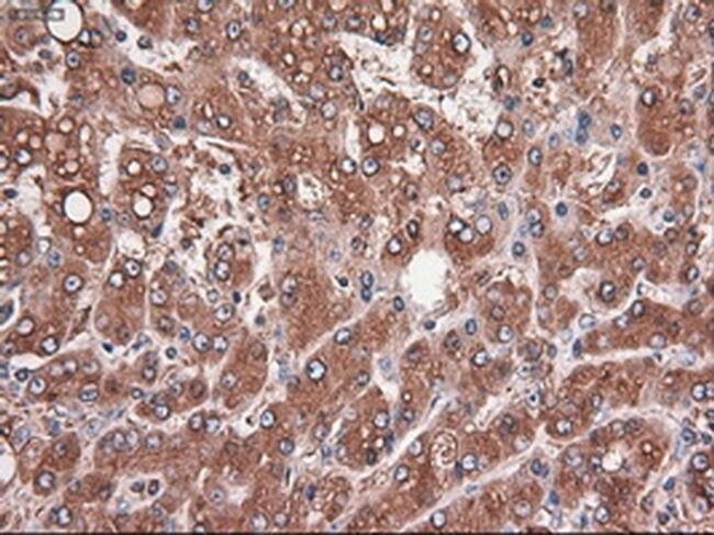
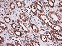
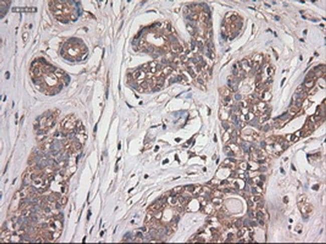
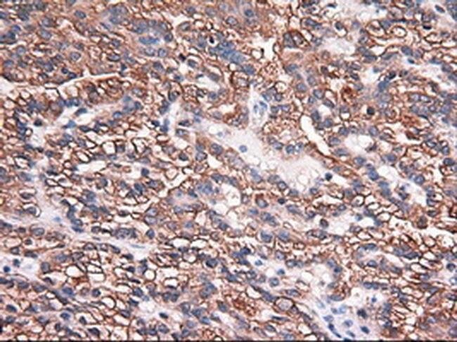
CPA1 (Carboxypeptidase A1) Mouse anti-Human, Clone: OTI2A3, liquid, TrueMAB™

Description
Specifications
Specifications
| Antigen | CPA1 (Carboxypeptidase A1) |
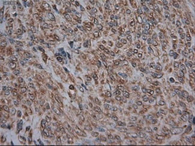
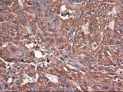
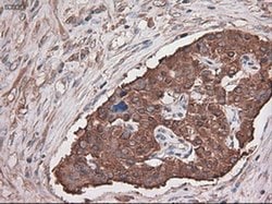
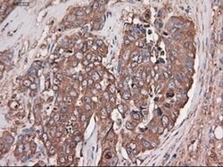
| Applications | Immunocytochemistry, Immunofluorescence, Immunohistochemistry (Paraffin), Western Blot |
| Classification | Monoclonal |
| Clone | OTI2A3 |
| Conjugate | Unconjugated |
| Formulation | PBS with 1% BSA, 50% glycerol and 0.02% sodium azide |
| Gene | CPA1 |
| Gene Accession No. | P15085 |
| Gene Alias | CPA |
| Gene Symbols | CPA1 |
| Show More |
By clicking Submit, you acknowledge that you may be contacted by Fisher Scientific in regards to the feedback you have provided in this form. We will not share your information for any other purposes. All contact information provided shall also be maintained in accordance with our Privacy Policy.