Promotional price valid on web orders only. Your contract pricing may differ. Interested in signing up for a dedicated account number?
Learn More

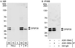
CPSF30 Rabbit anti-Human, Mouse, Polyclonal, Bethyl Laboratories

Rabbit Polyclonal Antibody

Supplier:  Bethyl Laboratories, Inc A301584A

Encompass_Preferred

Catalog No. 50-156-0757


May include imposed supplier surcharges.
Only null left
Add to Cart

Description

Description

The recommended shelf life for this product is 1 year from date of receipt. Based on 100% sequence identity, this antibody is predicted to react with Rat

Inhibition of the nuclear export of poly(A)-containing mRNAs caused by the influenza A virus NS1 protein requires its effector domain. The NS1 effector domain functionally interacts with the cellular 30 kDa subunit of cleavage and polyadenylation specific factor 4, an essential component of the 3′ end processing machinery of cellular pre-mRNAs. In influenza virus-infected cells, the NS1 protein is physically associated with cleavage and polyadenylation specific factor 4, 30kD subunit. Binding of the NS1 protein to the 30 kDa protein in vitro prevents CPSF binding to the RNA substrate and inhibits 3′ end cleavage and polyadenylation of host pre-mRNAs. Thus the NS1 protein selectively inhibits the nuclear export of cellular, and not viral, mRNAs. Multiple alternatively spliced transcript variants that encode different isoforms have been described for this gene.
Specifications

Specifications

CPSF30
Polyclonal
Unconjugated
CPSF4
CPSF30, NAR, NEB1, CPSF 30 kDa subunit, NS1 effector domain-binding protein 1, cleavage and polyadenylation specificity factor 30 kDa subunit, cleavage and polyadenylation specificity factor subunit 4, cleavage-polyadenylation specificity factor, 30kD, neb-1, no arches homolog, no
Rabbit
Antigen affinity chromatography
RUO
10898, 54188
4° C
Liquid
Immunoprecipitation, Western Blot
1 mg/ml
phosphate, tris citrate with 0.09% sodium azide; pH 7-8
O95639, Q8BQZ5
Cpsf4
Between 220 and 245
100 μL
Primary
Human, Mouse
Antibody
IgG
Product Suggestions

Product Suggestions

Videos
SDS
Documents

Documents

Product Certifications
Promotions

Promotions

Product Content Correction

The Fisher Scientific Encompass Program offers items which are not part of our distribution portfolio. These products typically do not have pictures or detailed descriptions. However, we are committed to improving your shopping experience. Please use the form below to provide feedback related to the content on this product.

Product Title

By clicking Submit, you acknowledge that you may be contacted by Fisher Scientific in regards to the feedback you have provided in this form. We will not share your information for any other purposes. All contact information provided shall also be maintained in accordance with our Privacy Policy.

Your feedback has been submitted: Thank you for helping us improve our website.