Learn More
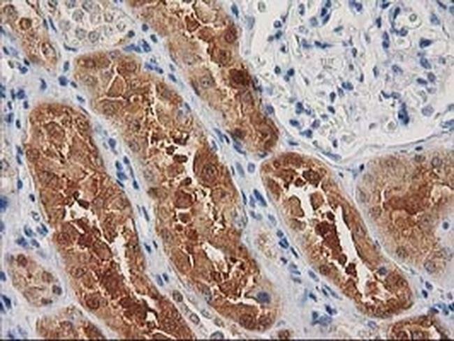
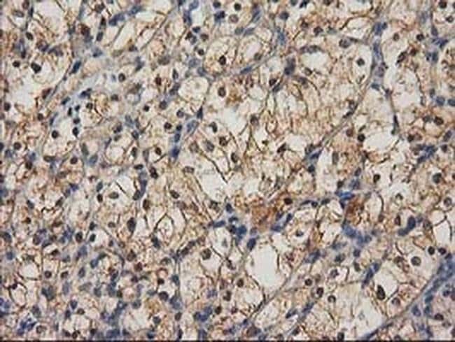
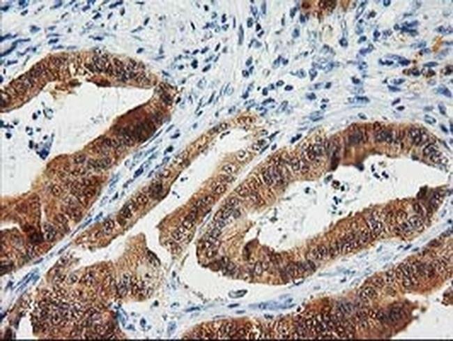
Invitrogen™ CTH Monoclonal Antibody (OTI2D6)

Description
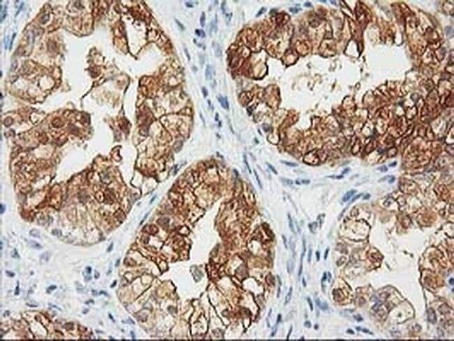
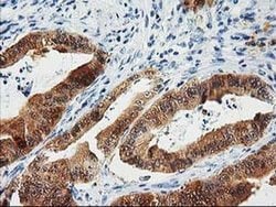
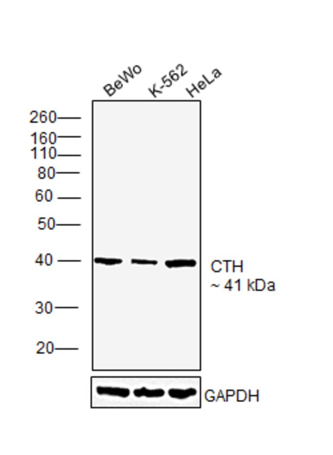
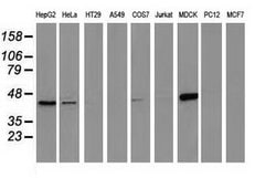
CTH Monoclonal Antibody for Western Blot, IHC (P)
Specifications
Specifications
| Antigen | CTH |
| Applications | Immunohistochemistry (Paraffin), Western Blot |
| Classification | Monoclonal |
| Clone | OTI2D6 |
| Concentration | 0.9 mg/mL |
| Conjugate | Unconjugated |
| Formulation | PBS with 1% BSA, 50% glycerol and 0.02% sodium azide; pH 7.3 |
| Gene | CTH |
| Gene Accession No. | P32929 |
| Gene Alias | 0610010I13Rik; AI314617; BC019483; CSE; Cth; cth protein; CTL target antigen; Cys3; cystathionase; cystathionase (cystathionine gamma-lyase); cystathionase isoform 1; cystathionine gamma-lyase; Cystathionine gamma-lyase-like protein; cysteine desulfhydrase; cysteine-protein sulfhydrase; EGK_00877; fb58d08; gamma-cystathionase; H; homoserine deaminase; homoserine dehydratase; LOC102117863; MGC9471; PRB-RA; probasin-related antigen; QccE-22305; synthase; Unknown (protein for MGC:85785); wu:fb48e03; wu:fb58d08; zgc:66001; zgc:85785 |
| Show More |
By clicking Submit, you acknowledge that you may be contacted by Fisher Scientific in regards to the feedback you have provided in this form. We will not share your information for any other purposes. All contact information provided shall also be maintained in accordance with our Privacy Policy.