Learn More
CXCL16 Antibody (RM0208-15Q2) - Azide and BSA Free, Novus Biologicals™
Shop All R&D Systems Products

Description
Specifications
Specifications
| Antigen | CXCL16 |
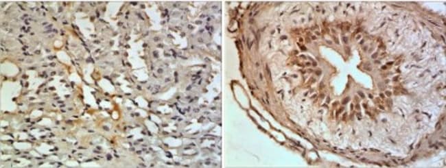
| Applications | Western Blot, Immunohistochemistry (Paraffin), Blocking Assay |
| Classification | Monoclonal |
| Clone | RM0208-15Q2 |
| Concentration | LYOPH |
| Conjugate | Unconjugated |
| Dilution | Western Blot 1:250-1:1000, Immunohistochemistry, Immunohistochemistry-Paraffin, Block/Neutralize |
| Formulation | Lyophilized from a 0.2 μm filtered solution in PBS. 0.025 mg size is provided in liquid form, PBS with No Preservative |
| Gene Accession No. | Q8BSU2 |
| Gene Alias | chemokine (C-X-C motif) ligand 16, CXC chemokine ligand 16, CXCLG16, Scavenger receptor for phosphatidylserine and oxidized low density lipoprotein, SCYB16, Small-inducible cytokine B16, SRPSOXC-X-C motif chemokine 16, SR-PSOXTransmembrane chemokine CXCL16 |
| Show More |
For Research Use Only
By clicking Submit, you acknowledge that you may be contacted by Fisher Scientific in regards to the feedback you have provided in this form. We will not share your information for any other purposes. All contact information provided shall also be maintained in accordance with our Privacy Policy.