Promotional price valid on web orders only. Your contract pricing may differ. Interested in signing up for a dedicated account number?
Learn More
Learn More
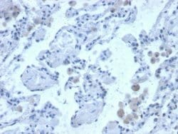
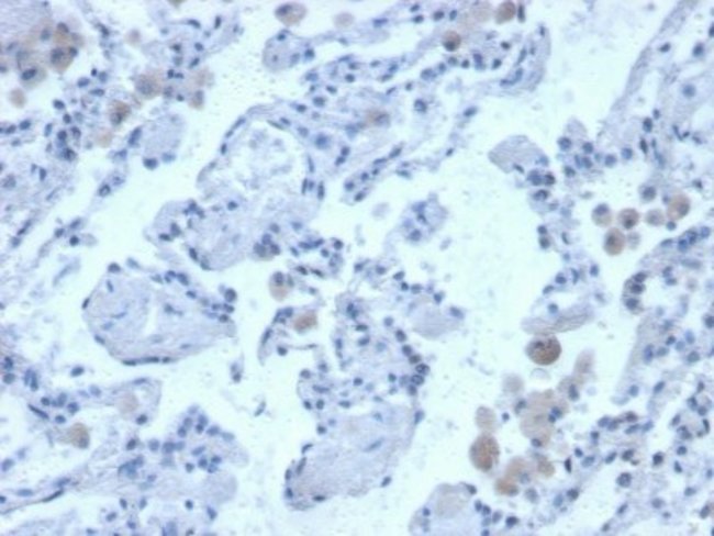
Cystatin B/Stefin B Antibody (CPTC-CSTB-3) - Azide and BSA Free, Novus Biologicals™

Mouse Monoclonal Antibody
Supplier: Novus Biologicals NBP308538
Description
Cystatin B/Stefin B Monoclonal specifically detects Cystatin B/Stefin B in Human samples. It is validated for Western Blot, Immunohistochemistry-Paraffin.Specifications
Cystatin B/Stefin B | |
Monoclonal | |
1 mg/mL | |
Western Blot : 1-2 ug/mL, Immunohistochemistry-Paraffin : 1-2 ug/mL | |
CPI-B, CST6cystatin B (liver thiol proteinase inhibitor)10STFBcystatin-B, cystatin B (stefin B), EPM1, Liver thiol proteinase inhibitor, PME, stefin B, stefin-B | |
Recombinant full-length human Cystatin B/Stefin B protein | |
100 μg | |
Cancer | |
1476 | |
Store at -20 to -80C. Avoid freeze-thaw cycles. | |
IgG1 κ |
Western Blot, Immunohistochemistry (Paraffin) | |
CPTC-CSTB-3 | |
Unconjugated | |
10mM PBS | |
Mouse | |
Protein A or G purified | |
RUO | |
Primary | |
Human | |
Purified |
Product Content Correction
Your input is important to us. Please complete this form to provide feedback related to the content on this product.
Product Title
Spot an opportunity for improvement?Share a Content Correction