Promotional price valid on web orders only. Your contract pricing may differ. Interested in signing up for a dedicated account number?
Learn More
Learn More
Cytokeratin 1 Rabbit anti-Human, Mouse, Rat, Clone: 10W8J6, Novus Biologicals™

Rabbit Monoclonal Antibody
Supplier: Novus Biologicals NBP31688320UL
This item is not returnable.
View return policy
Description
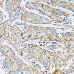
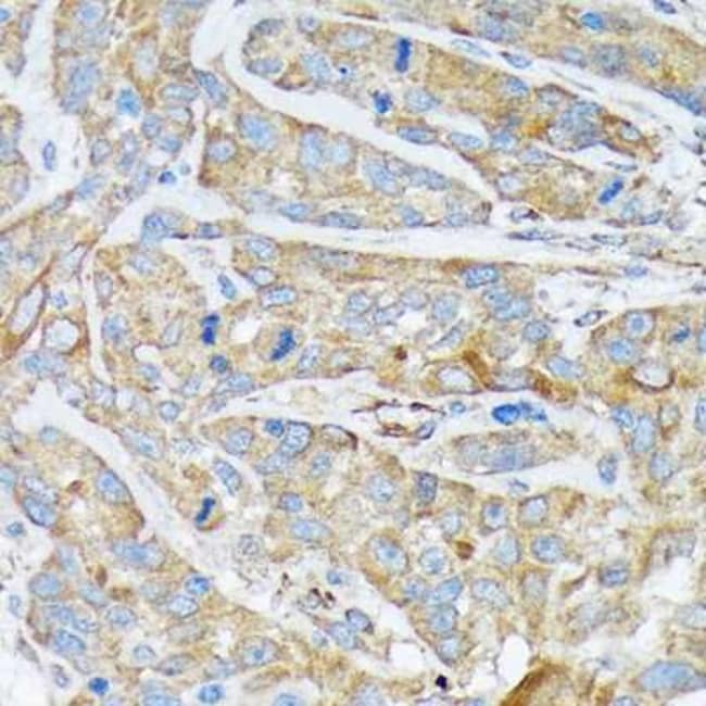
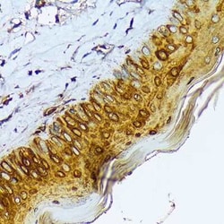
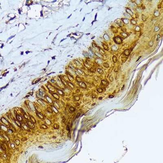
Cytokeratin 1 Monoclonal antibody specifically detects Cytokeratin 1 in Human, Mouse, Rat samples. It is validated for Western Blot, Immunohistochemistry, Immunofluorescence, Immunohistochemistry (Paraffin)Specifications
Cytokeratin 1 | |
Monoclonal | |
Unconjugated | |
PBS, 0.05% BSA, 50% glycerol, pH7.3 | |
Rabbit | |
Affinity purified | |
RUO | |
Primary | |
Human, Mouse, Rat | |
Purified |
Western Blot, Immunohistochemistry, Immunofluorescence, Immunohistochemistry (Paraffin) | |
10W8J6 | |
Western Blot, Immunohistochemistry, Immunocytochemistry/Immunofluorescence 1:50 - 1:200, Immunohistochemistry-Paraffin | |
CK1, CK-1, cytokeratin 1, Cytokeratin-1, cytokeratin-1,67 kDa cytokeratin, EHK, EHK1, epidermolytic hyperkeratosis 1, EPPK, Hair alpha protein, K1, keratin 1, keratin, type II cytoskeletal 1, Keratin-1, KRT1A, KRTA, NEPPK, Type-II keratin Kb1 | |
A synthetic peptide corresponding to a sequence within amino acids 545-644 of human Cytokeratin 1 (P04264). | |
20 μg | |
Cell Biology, Cellular Markers, Protein Kinase, Signal Transduction | |
3848 | |
Store at -20°C. Avoid freeze-thaw cycles. | |
IgG |
Product Content Correction
Your input is important to us. Please complete this form to provide feedback related to the content on this product.
Product Title
Spot an opportunity for improvement?Share a Content Correction