Promotional price valid on web orders only. Your contract pricing may differ. Interested in signing up for a dedicated account number?
Learn More
Learn More
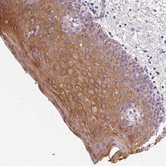
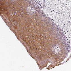
Cytokeratin 6a Antibody, Novus Biologicals™

Rabbit Polyclonal Antibody
Supplier: Novus Biologicals NBP24932525UL
Description
Cytokeratin 6a Polyclonal antibody specifically detects Cytokeratin 6a in Human samples. It is validated for Immunohistochemistry, Immunohistochemistry (Paraffin)Specifications
Cytokeratin 6a | |
Polyclonal | |
Immunohistochemistry 1:2500 - 1:5000, Immunohistochemistry-Paraffin 1:2500 - 1:5000 | |
Allergen Hom s 5, CK6A, CK-6A, CK6C, CK6D, CK-6D, cytokeratin 6A, cytokeratin 6C, cytokeratin 6D, Cytokeratin-6A, Cytokeratin-6D, K6A, K6C, K6D, keratin 6A, keratin 6C, keratin 6D, keratin, epidermal type II, K6A, keratin, type II cytoskeletal 6A, Keratin-6A, KRT6C, KRT6D, Type-II keratin Kb6 | |
This antibody was developed against a recombinant protein corresponding to amino acids: SGRAIGGGLSSVGGGSSTIKYTTTSSSSRKSYKH | |
25 μL | |
Cell Biology, Cellular Markers, Stem Cell Markers | |
3853 | |
Store at 4°C short term. Aliquot and store at -20°C long term. Avoid freeze-thaw cycles. | |
IgG |
Immunohistochemistry, Immunohistochemistry (Paraffin) | |
Unconjugated | |
PBS (pH 7.2), 40% Glycerol | |
Rabbit | |
Immunogen affinity purified | |
RUO | |
Primary | |
Human | |
Purified |
Product Content Correction
Your input is important to us. Please complete this form to provide feedback related to the content on this product.
Product Title
Spot an opportunity for improvement?Share a Content Correction