Learn More
Invitrogen™ DCP1A Recombinant Rabbit Monoclonal Antibody (JB51-34)

Description
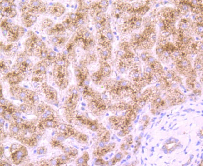
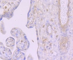
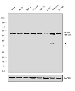
Positive Control: LOVO, SH-SY-5Y, SiHa, human liver tissue, human placenta tissue.
Specifications
Specifications
| Antigen | DCP1A |
| Applications | Immunohistochemistry (Paraffin), Western Blot, Immunocytochemistry |
| Classification | Recombinant Monoclonal |
| Clone | JB51-34 |
| Concentration | 1 mg/mL |
| Conjugate | Unconjugated |
| Formulation | TBS with 0.05% BSA, 40% glycerol and 0.05% sodium azide; pH 7.4 |
| Gene | Dcp1a |
| Gene Accession No. | Q91YD3, Q9NPI6 |
| Gene Alias | 1110066A22Rik; 4930568L04Rik; AU019772; D14Ertd817e; DCP1 decapping enzyme homolog A; DCP1 decapping enzyme homolog A (S. cerevisiae); DCP1 decapping enzyme-like protein A; DCP1A; decapping enzyme; decapping enzyme hDcp1a; decapping mRNA 1A; FLJ21691; HSA275986; MAD homolog 4 interacting transcription coactivator 1; MAD homolog 4-interacting transcription coactivator 1; Mitc1; mRNA-decapping enzyme 1A; Nbla00360; putative protein product of Nbla00360; RGD1561298; Smad4-interacting transcriptional co-activator; SMAD4IP1; SMIF; test2; transcription factor SMIF |
| Show More |
By clicking Submit, you acknowledge that you may be contacted by Fisher Scientific in regards to the feedback you have provided in this form. We will not share your information for any other purposes. All contact information provided shall also be maintained in accordance with our Privacy Policy.