Promotional price valid on web orders only. Your contract pricing may differ. Interested in signing up for a dedicated account number?
Learn More

Invitrogen™ DECR1 Polyclonal Antibody
GREENER_CHOICE

Catalog No. PIPA5110890
Change view
Click to view available options
Quantity:
100 μL
1 product options available for selection
Product selection table with 1 available options. Use arrow keys to navigate and Enter or Space to select.
Catalog No. Quantity
PIPA5110890 100 μL
Use arrow keys to navigate between rows. Press Enter or Space to select a product option. 1 options available.
1 options
Catalog No. PIPA5110890 Supplier Invitrogen™ Supplier No. PA5110890
Only null left
Add to Cart
Add to Cart

Rabbit Polyclonal Antibody

Immunogen sequence: VTLEIGKQLI KAQKGAAFLS ITTIYAETGS GFVVPSASAK AGVEAMSKSL AAEWGKYGMR FNVIQPGPIK TKGAFSRLDP Highest antigen sequence indentity to the following orthologs: Rat - 90%, Mouse - 90%.

Auxiliary enzyme of beta-oxidation. It participates in the metabolism of unsaturated fatty enoyl-CoA esters having double bonds in both even- and odd-numbered positions. Catalyzes the NADP-dependent reduction of 2,4-dienoyl-CoA to yield trans-3-enoyl-CoA.
TRUSTED_SUSTAINABILITY

Specifications

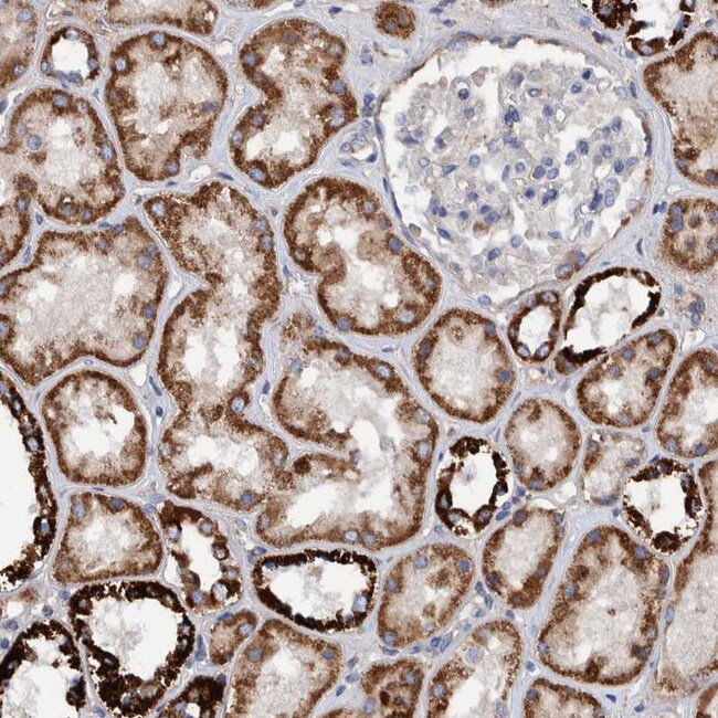
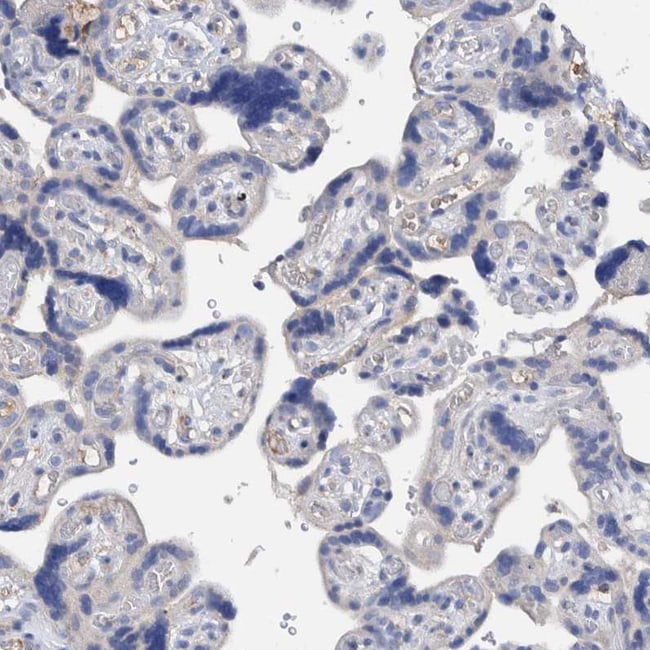
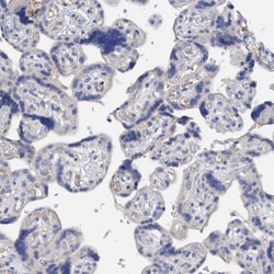
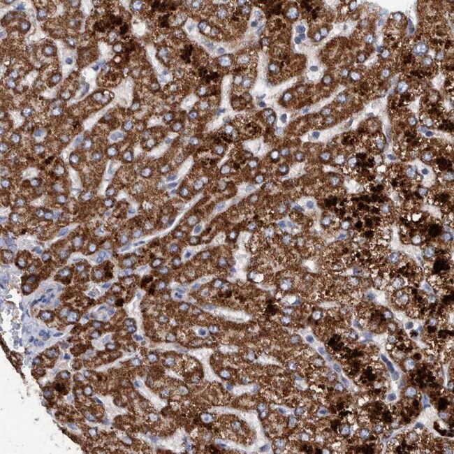
Antigen DECR1
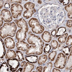
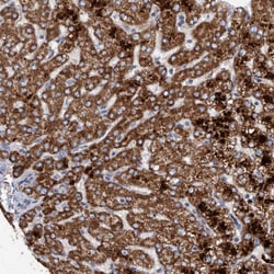
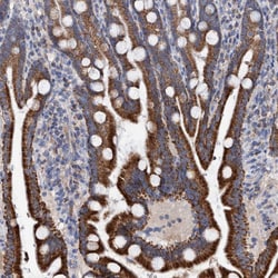
Applications Immunohistochemistry (Paraffin)
Classification Polyclonal
Concentration 0.05 mg/mL
Conjugate Unconjugated
Formulation PBS with 40% glycerol and 0.02% sodium azide; pH 7.2
Gene DECR1
Gene Accession No. Q16698
Gene Alias 1200012F07Rik; 2,4-dienoyl CoA reductase 1, mitochondrial; 2,4-dienoyl-CoA reductase [NADPH]; 2,4-dienoyl-CoA reductase 1, mitochondrial; 2,4-dienoyl-CoA reductase, mitochondrial; 4-enoyl-CoA reductase; 4-enoyl-CoA reductase [NADPH]; Decr; DECR1; Nadph; SDR18C1; Short chain dehydrogenase/reductase family 18C member 1; short chain dehydrogenase/reductase family 18C, member 1
Gene Symbols DECR1
Host Species Rabbit
Immunogen Recombinant Protein corresonding to Human DECR1. Recombinant protein control fragment (Product #RP-93763).
Purification Method Antigen affinity chromatography
Quantity 100 μL
Regulatory Status RUO
Primary or Secondary Primary
Gene ID (Entrez) 1666
Target Species Human
Content And Storage Store at 4°C short term. For long term storage, store at -20°C, avoiding freeze/thaw cycles.
Product Type Antibody
Form Liquid
Isotype IgG
Show More Show Less
WARNING: Cancer - www.P65Warnings.ca.gov
Product Title
Select an issue

By clicking Submit, you acknowledge that you may be contacted by Fisher Scientific in regards to the feedback you have provided in this form. We will not share your information for any other purposes. All contact information provided shall also be maintained in accordance with our Privacy Policy.