Learn More
Description
Specifications
Specifications
| Antigen | ER alpha/NR3A1 |
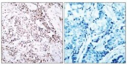
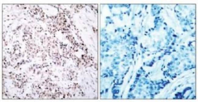
| Applications | Immunohistochemistry (Paraffin), Western Blot, Immunohistochemistry |
| Classification | Polyclonal |
| Concentration | 1.0 mg/mL |
| Conjugate | Unconjugated |
| Dilution | Western Blot 1:5001:1000, Simple Western, Immunohistochemistry 1:50-1:100, Immunohistochemistry-Paraffin 1:50-1:100 |
| Formulation | phosphate buffered saline (without Mg2+ and Ca2+), pH 7.4, 150mM NaCl, and 50% glycerol. with 0.02% Sodium Azide |
| Gene Accession No. | P03372 |
| Gene Alias | ER, ER alpha, Era, ER-alpha, ESRESRA, Estradiol receptor, estrogen receptor, estrogen receptor 1, estrogen receptor alpha, estrogen receptor alpha delta 3*4,56,7*/819-2 isoform, estrogen receptor alpha delta 4 +49 isoform, estrogen receptor alpha delta 4*5,6,7*/654 isoform, NR3A1DKFZp686N23123, Nuclear receptor subfamily 3 group A member 1 |
| Gene Symbols | ESR1 |
| Show More |
For Research Use Only
By clicking Submit, you acknowledge that you may be contacted by Fisher Scientific in regards to the feedback you have provided in this form. We will not share your information for any other purposes. All contact information provided shall also be maintained in accordance with our Privacy Policy.
