Promotional price valid on web orders only. Your contract pricing may differ. Interested in signing up for a dedicated account number?
Learn More
Learn More
FABP3/H-FABP Mouse anti-Human, Clone: FABP3/3430, Novus Biologicals™

Mouse Monoclonal Antibody
Supplier: Novus Biologicals NBP313881100UG
This item is not returnable.
View return policy
Description
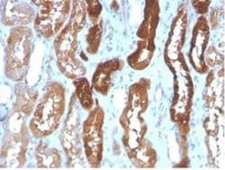
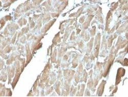
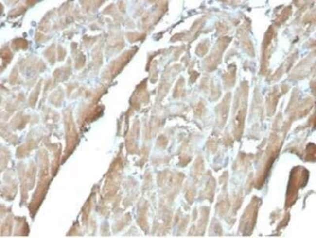
FABP3/H-FABP Monoclonal antibody specifically detects FABP3/H-FABP in Human samples. It is validated for Immunohistochemistry (Paraffin), Protein ArraySpecifications
FABP3/H-FABP | |
Monoclonal | |
0.2 mg/ml | |
Immunohistochemistry-Paraffin 1-2 ug/ml, Protein Array | |
P05413 | |
Mouse | |
Protein A or G purified | |
RUO | |
Primary | |
Human | |
Purified |
Immunohistochemistry (Paraffin), Peptide Array | |
FABP3/3430 | |
Unconjugated | |
10 mM PBS with 0.05% BSA | |
FABP11, fatty acid binding protein 11, fatty acid binding protein 3, muscle and heart (mammary-derived growthinhibitor), Fatty acid-binding protein 3, Fatty acid-binding protein 3, muscle, fatty acid-binding protein, heart, Heart-type fatty acid-binding protein, H-FABPM-FABP, Mammary-derived growth inhibitor, MDGI, Muscle fatty acid-binding protein, O-FABP | |
Human recombinant FABP3/H-FABP protein fragment (around aa1-127) (exact sequence is proprietary) (Uniprot: P05413) | |
100 μg | |
Cell Cycle and Replication, Cholesterol Metabolism, Lipid and Metabolism | |
2170 | |
Store at 4°C. | |
IgG2b κ |
Product Content Correction
Your input is important to us. Please complete this form to provide feedback related to the content on this product.
Product Title
Spot an opportunity for improvement?Share a Content Correction