Promotional price valid on web orders only. Your contract pricing may differ. Interested in signing up for a dedicated account number?
Learn More
Learn More
FAM24B Antibody, Novus Biologicals™

Rabbit Polyclonal Antibody
Supplier: Novus Biologicals NBP23365025UL
Description
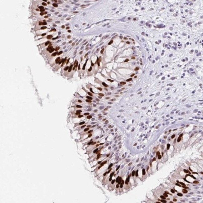
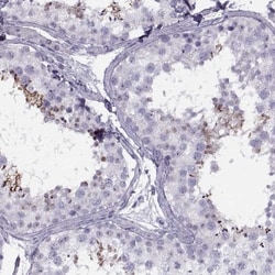
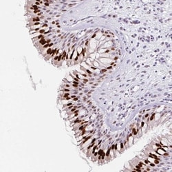
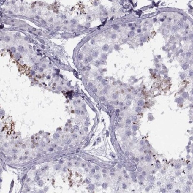
FAM24B Polyclonal specifically detects FAM24B in Human samples. It is validated for Immunohistochemistry, Immunohistochemistry-Paraffin.Specifications
| FAM24B | |
| Polyclonal | |
| Immunohistochemistry 1:1000 - 1:2500, Immunohistochemistry-Paraffin 1:1000 - 1:2500 | |
| Q8N5W8 | |
| FAM24B | |
| This antibody was developed against a recombinant protein corresponding to amino acids: TESCPALQCCEGYRMCASFDSLPPCCCDINEGL | |
| 25 μL | |
| Primary | |
| Specificity of antibody verified on a Protein Array containing target protein plus 383 other non-specific proteins. | |
| Store at 4C short term. Aliquot and store at -20C long term. Avoid freeze-thaw cycles. |
| Immunohistochemistry, Immunohistochemistry (Paraffin) | |
| Unconjugated | |
| PBS (pH 7.2) and 40% Glycerol with 0.02% Sodium Azide | |
| AC073585.2, DKFZp667I0323, family with sequence similarity 24, member B, hypothetical protein LOC196792, MGC45962 | |
| Rabbit | |
| Affinity Purified | |
| RUO | |
| 196792 | |
| Human | |
| IgG |
Product Content Correction
Your input is important to us. Please complete this form to provide feedback related to the content on this product.
Product Title
For Research Use Only
Spot an opportunity for improvement?Share a Content Correction