Promotional price valid on web orders only. Your contract pricing may differ. Interested in signing up for a dedicated account number?
Learn More
Learn More
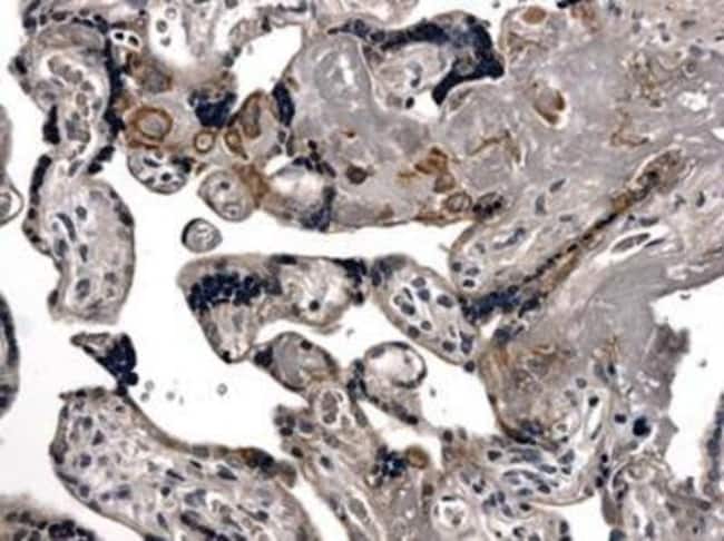
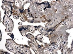
Fas/TNFRSF6/CD95 Antibody (MM0041-12J3) - Azide and BSA Free, Novus Biologicals™

Mouse Monoclonal Antibody
Supplier: Novus Biologicals NB110610070.025MG
Description
Fas Receptor/TNFRSF6/CD95 Monoclonal specifically detects Fas Receptor/TNFRSF6/CD95 in Human, Primate samples. It is validated for Western Blot, Immunohistochemistry, Immunohistochemistry-Paraffin.Specifications
| Fas Receptor/TNFRSF6/CD95 | |
| Monoclonal | |
| LYOPH | |
| Western Blot 1:100-1:1000, Immunohistochemistry 1:10-1:500, Immunohistochemistry-Paraffin 1:10-1:500 | |
| ALPS1A, Apo-1, APO-1 cell surface antigen, apoptosis antigen 1, apoptosis signaling receptor FAS, Apoptosis-mediating surface antigen FAS, APT1, CD95, CD95 antigen, Fas (TNF receptor superfamily, member 6), Fas AMA, FAS1, FASLG receptor, FASTM, mutant tum | |
| Mouse | |
| Protein G purified | |
| RUO | |
| Primary | |
| Fas (MM0041-12J3) | |
| Primate, Human | |
| Purified |
| Western Blot, Immunohistochemistry (Paraffin), Immunohistochemistry | |
| MM0041-12J3 | |
| Unconjugated | |
| A 0.2 um filtered solution in PBS with No Preservative | |
| FAS | |
| This antibody was produced from a hybridoma (mouse myeloma fused with spleen cells from a mouse immunized with recombinant human Fas protein. | |
| 0.025 mg | |
| Apoptosis, Cancer, Diabetes Research | |
| 355 | |
| Reconstitute with 0.5 ml sterilized PBS to a final concentration of 0.2 mg/ml. | |
| Store at 4C short term. Aliquot and store at -20C long term. Avoid freeze-thaw cycles. | |
| IgG1 |
Product Content Correction
Your input is important to us. Please complete this form to provide feedback related to the content on this product.
Product Title
For Research Use Only
Spot an opportunity for improvement?Share a Content Correction