Promotional price valid on web orders only. Your contract pricing may differ. Interested in signing up for a dedicated account number?
Learn More
Learn More
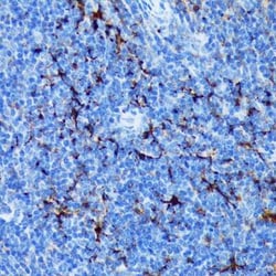
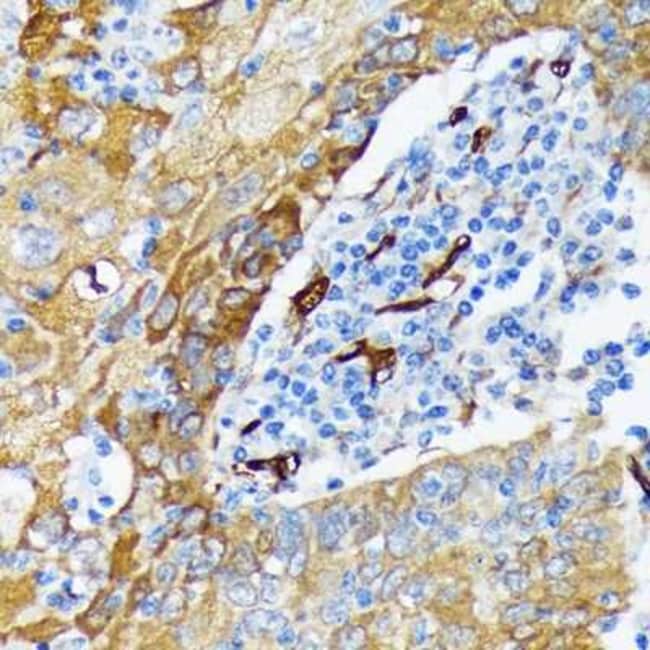
Fascin Rabbit anti-Human, Mouse, Rat, Clone: 1B3V6, Novus Biologicals™

Rabbit Monoclonal Antibody
Supplier: Novus Biologicals NBP316828100UL
This item is not returnable.
View return policy
Description
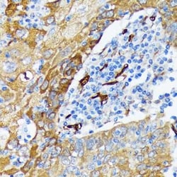
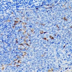
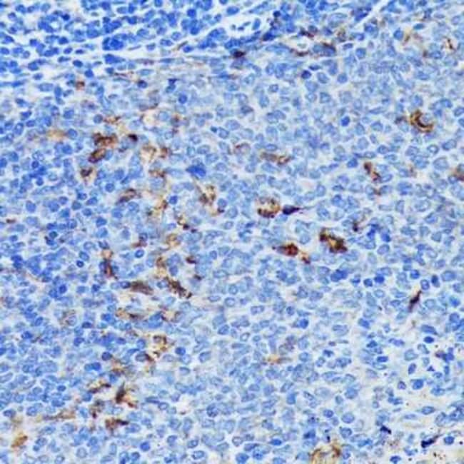
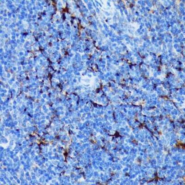
Fascin Monoclonal antibody specifically detects Fascin in Human, Mouse, Rat samples. It is validated for Western Blot, Immunohistochemistry, Immunohistochemistry (Paraffin)Specifications
Fascin | |
Monoclonal | |
Unconjugated | |
PBS, 0.05% BSA, 50% glycerol, pH7.3 | |
Rabbit | |
Affinity purified | |
RUO | |
Primary | |
Human, Mouse, Rat | |
Purified |
Western Blot, Immunohistochemistry, Immunohistochemistry (Paraffin) | |
1B3V6 | |
Western Blot, Immunohistochemistry 1:50 - 1:200, Immunohistochemistry-Paraffin | |
FAN1,55 kDa actin-bundling protein, fascin homolog 1, actin-bundling protein (Strongylocentrotus purpuratus), FLJ38511, HSN, p55actin bundling protein, singed (Drosophila)-like (sea urchin fascin homolog like), singed-like (fascin homolog, sea urchin), Singed-like protein, SNLfascin | |
Recombinant fusion protein containing a sequence corresponding to amino acids 249-362 of human Fascin (Q16658). | |
100 μg | |
Cell Biology, Cellular Markers | |
6624 | |
Store at -20°C. Avoid freeze-thaw cycles. | |
IgG |
Product Content Correction
Your input is important to us. Please complete this form to provide feedback related to the content on this product.
Product Title
Spot an opportunity for improvement?Share a Content Correction