Promotional price valid on web orders only. Your contract pricing may differ. Interested in signing up for a dedicated account number?
Learn More
Learn More
Flt-3/Flk-2/CD135 Antibody (12B6) - Azide and BSA Free, Novus Biologicals™

Rat Monoclonal Antibody
Supplier: Novus Biologicals NB11094155
Description
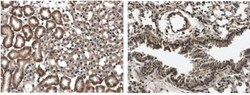
Flt-3/Flk-2/CD135 Monoclonal specifically detects Flt-3/Flk-2/CD135 in Mouse samples. It is validated for Western Blot, Immunohistochemistry, Immunohistochemistry-Paraffin.Specifications
| Flt-3/Flk-2/CD135 | |
| Monoclonal | |
| LYOPH | |
| Western Blot 1:100-1:1000, Immunohistochemistry, Immunohistochemistry-Paraffin 1:50 - 1:100 | |
| CD135, CD135 antigen, EC 2.7.10, fetal liver kinase 2, FL cytokine receptor, FLK2, FLT-3, FLT3 receptor tyrosine kinase, Fms-like tyrosine kinase 3, fms-related tyrosine kinase 3, growth factor receptor tyrosine kinase type III, Stem cell tyrosine kinase 1, STK-1, STK1EC 2.7.10.1, Tyrosine-protein kinase receptor FLT3 | |
| Rat | |
| Protein G purified | |
| RUO | |
| Primary | |
| This recognizes mouse Flt3/CD135 Antibody (12B6) in western blot. | |
| Mouse | |
| Purified |
| Western Blot, Immunohistochemistry, Immunohistochemistry (Paraffin) | |
| 12B6 | |
| Unconjugated | |
| Lyophilized from a 0.2 μm filtered solution in PBS. 0.025 mg size is provided in liquid form, PBS with No Preservative | |
| FLT3 | |
| Mouse Flt-3/Flk-2/CD135 (extracellular domain) | |
| 0.1 mg | |
| Cell Cycle and Replication | |
| 2322 | |
| Reconstitute with sterilized PBS to a final concentration of 0.2 mg/ml. | |
| Aliquot and store at -20C or -80C. Avoid freeze-thaw cycles. | |
| IgG2 |
Product Content Correction
Your input is important to us. Please complete this form to provide feedback related to the content on this product.
Product Title
For Research Use Only
Spot an opportunity for improvement?Share a Content Correction