Promotional price valid on web orders only. Your contract pricing may differ. Interested in signing up for a dedicated account number?
Learn More
Learn More
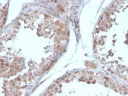
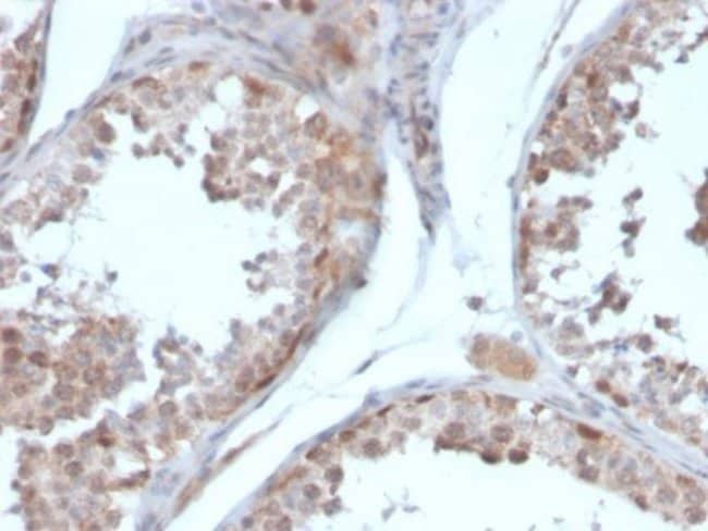
Follistatin Antibody (FST/4281) - Azide and BSA Free, Novus Biologicals™

Mouse Monoclonal Antibody
Supplier: Novus Biologicals NBP308813
Description
Follistatin Monoclonal specifically detects Follistatin in Human samples. It is validated for ELISA, Immunohistochemistry-Paraffin.Specifications
| Follistatin | |
| Monoclonal | |
| 1 mg/mL | |
| ELISA, Immunohistochemistry-Paraffin : 1-2 ug/mL | |
| follistatin, follistatin isoform FST317, FSActivin-binding protein | |
| Raised to human Follistatin (Fst) 288 and recognizes both human Fst 288 and 315 | |
| 100 μg | |
| Cancer | |
| 10468 | |
| Store at -20 to -80C. Avoid freeze-thaw cycles. | |
| IgG1 |
| ELISA, Immunohistochemistry (Paraffin) | |
| FST/4281 | |
| Unconjugated | |
| 10mM PBS | |
| Mouse | |
| Protein A or G purified | |
| RUO | |
| Primary | |
| Human | |
| Purified |
Product Content Correction
Your input is important to us. Please complete this form to provide feedback related to the content on this product.
Product Title
Spot an opportunity for improvement?Share a Content Correction