Promotional price valid on web orders only. Your contract pricing may differ. Interested in signing up for a dedicated account number?
Learn More
Learn More
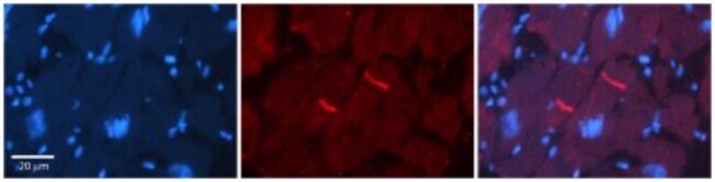
GABA-A R rho 2 Antibody, Novus Biologicals™

Rabbit Polyclonal Antibody
Supplier: Novus Biologicals NBP180061
Description
GABA-A R rho 2 Polyclonal specifically detects GABA-A R rho 2 in Human samples. It is validated for Western Blot, Immunohistochemistry, Immunohistochemistry-Paraffin.Specifications
GABA-A R rho 2 | |
Polyclonal | |
Unconjugated | |
PBS, 2% Sucrose with 0.09% Sodium Azide | |
GABA(A) receptor subunit rho-2, GABA-C receptor, rho-2 subunit, gamma-aminobutyric acid (GABA) receptor, rho 2, gamma-aminobutyric acid receptor subunit rho-2 | |
Rabbit | |
54 kDa | |
100 μL | |
Primary | |
Expected identity based on immunogen sequence: Canine: 100%; Chicken: 92%; Guinea pig: 92%; Mouse: 92%; Rabbit: 92%. | |
Human, Mouse, Rat, Bovine, Canine, Equine, Guinea Pig, Rabbit, Zebrafish | |
IgG |
Western Blot, Immunohistochemistry, Immunohistochemistry (Paraffin) | |
0.5 mg/ml | |
Western Blot 1.0 ug/ml, Immunohistochemistry, Immunohistochemistry-Paraffin | |
P28476 | |
GABRR2 | |
Synthetic peptide directed towards the middle region of human GABRR2 (NP_002034). Peptide sequence SNKSMTFDGRLVKKIWVPDVFFVHSKRSFTHDTTTDNIMLRVFPDGHVLY. | |
Affinity purified | |
RUO | |
2570 | |
Centrifuge the vial of lyoph antibody at 12,000 x g for 20 seconds. Add 50μL of distilled water. Vortex followed by centrifuge again to pellet the solution.Final concentration is 1mg/mL in PBS buffer. | |
Store at 4°C short term. Aliquot and store at -20°C long term. Avoid freeze-thaw cycles. |
Product Content Correction
Your input is important to us. Please complete this form to provide feedback related to the content on this product.
Product Title
For Research Use Only
Spot an opportunity for improvement?Share a Content Correction