Promotional price valid on web orders only. Your contract pricing may differ. Interested in signing up for a dedicated account number?
Learn More
Learn More
GBP1 Rabbit anti-Human, Rat, Clone: 3X7O9, Novus Biologicals™

Rabbit Monoclonal Antibody
Supplier: Novus Biologicals NBP31527820UL
This item is not returnable.
View return policy
Description
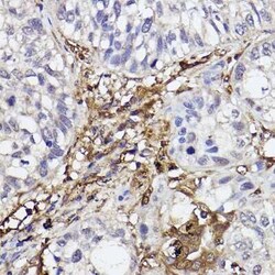
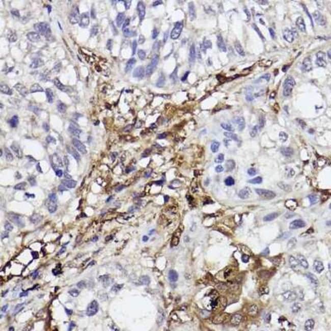
GBP1 Monoclonal antibody specifically detects GBP1 in Human, Rat samples. It is validated for Western Blot, Immunohistochemistry, Immunohistochemistry (Paraffin)Specifications
GBP1 | |
Monoclonal | |
Unconjugated | |
PBS, 0.05% BSA, 50% glycerol, pH7.3 | |
Rabbit | |
Affinity purified | |
RUO | |
Primary | |
Human, Rat | |
Purified |
Western Blot, Immunohistochemistry, Immunohistochemistry (Paraffin) | |
3X7O9 | |
Western Blot, Immunohistochemistry 1:50 - 1:200, Immunohistochemistry-Paraffin | |
GBP-1, GTP-binding protein 1, Guanine nucleotide-binding protein 1, guanylate binding protein 1, interferon-inducible, guanylate binding protein 1, interferon-inducible, 67kDa, huGBP-1, interferon-induced guanylate-binding protein 1 | |
A synthetic peptide corresponding to a sequence within amino acids 493-592 of human GBP1 (P32455). | |
20 μg | |
Immunology, Innate Immunity, Signal Transduction | |
2633 | |
Store at -20°C. Avoid freeze-thaw cycles. | |
IgG |
Product Content Correction
Your input is important to us. Please complete this form to provide feedback related to the content on this product.
Product Title
Spot an opportunity for improvement?Share a Content Correction