Promotional price valid on web orders only. Your contract pricing may differ. Interested in signing up for a dedicated account number?
Learn More
Learn More
GCET2 Mouse anti-Human, Clone: HGAL/2373, Novus Biologicals™

Mouse Monoclonal Antibody
Supplier: Novus Biologicals NBP31392020UG
This item is not returnable.
View return policy
Description
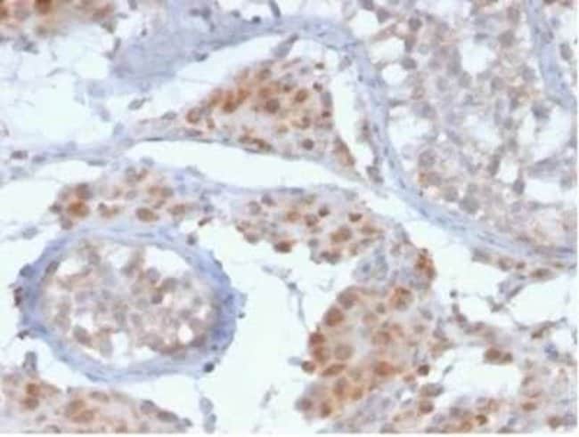
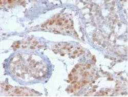
GCET2 Monoclonal antibody specifically detects GCET2 in Human samples. It is validated for Immunohistochemistry (Paraffin), Protein ArraySpecifications
GCET2 | |
Monoclonal | |
0.2 mg/ml | |
Immunohistochemistry-Paraffin 1-2 ug/ml, Protein Array | |
Q8N6F7 | |
Mouse | |
Protein A or G purified | |
RUO | |
Primary | |
Human | |
Purified |
Immunohistochemistry (Paraffin), Peptide Array | |
HGAL/2373 | |
Unconjugated | |
10 mM PBS with 0.05% BSA | |
GAL, GCAT2, germinal center B-cell-expressed transcript 2 protein, germinal center expressed transcript 2, Germinal center-associated lymphoma protein, HGAL, MGC40441 | |
Recombinant fragment (178 Amino acid residues from around aa1-200) of human GCET2 protein (Uniprot: Q8N6F7) | |
20 μg | |
Cancer, Immunology | |
257144 | |
Store at 4°C. | |
IgG2b κ |
Product Content Correction
Your input is important to us. Please complete this form to provide feedback related to the content on this product.
Product Title
Spot an opportunity for improvement?Share a Content Correction